Skip to main navigation Skip to main content
  • KAPS
  • E-Submission

APS : Advances in Pediatric Surgery

OPEN ACCESS
ABOUT
BROWSE ARTICLES
EDITORIAL POLICY
FOR CONTRIBUTORS
Case Report

Tuberculous Iliopsoas Muscle Abscess Associated with Multiple Intraabdominal and Thoracic Abscesses in 9-year-old Boy

Journal of the Korean Association of Pediatric Surgeons 2013;19(2):150-155.
Published online: December 24, 2013

Department of Pediatric Surgery, Dongsan Medical Center, Keimyung University School of Medicine, Daegu, Korea.

Correspondence: Soon-Ok Choi, M.D., Department of Pediatric Surgery, Dongsan Medical Center, Keimyung University School of Medicine, 56 Dalsung-ro, Jung-gu, Daegu 700-712, Korea. Tel: 053)250-7323, Fax: 053)250-7322, choi1635@dsmc.or.kr
• Received: August 28, 2013   • Accepted: November 29, 2013

Copyright © 2013 Korean Association of Pediatric Surgeons

  • 194 Views
  • 0 Download
prev next
  • Tuberculous Iliopsoas muscle abscess is a rare manifestation in patient with extrapulmonary tuberculosis and hardly observed in developed country. Paradoxical response to anti-tuberculous medication could make difficult therapeutic decision to clinicians. The authors report a case of tuberculous iliopsoas muscle abscess with multiple intraabdominal and thoracic abscesses in 9 year-old-boy who presented paradoxical response to anti-tuberculous treatment.
  • 1. Mynter H. Acute psoitis. Buffalo Med Surg J 1881;21:202-210.
  • 2. Navarro López V, Ramos JM, Meseguer V, Perez Arellano JL, Serrano R, Garcia Ordonez MA, et al. Microbiology and outcome of iliopsoas abscess in 124 patients. Medicine (Baltimore) 2009;88:120-130.
  • 3. Shields D, Robinson P, Crowley TP. Iliopsoas abscess-a review and update on the literature. Int J Surg 2012;10:466-469.
  • 4. Dahniya MH, Hanna RM, Grexa E, Cherian MJ, Niazy MN, Badr S, et al. Percutaneous drainage of tuberculous iliopsoas abscesses under image guidance. Australas Radiol 1999;43:444-447.
  • 5. Dinç H, Ahmetoglu A, Baykal S, Sari A, Sayil O, Gumele HR. Image-guided percutaneous drainage of tuberculous iliopsoas and spondylodiskitic abscesses: midterm results. Radiology 2002;225:353-358.
  • 6. Cheng VC, Ho PL, Lee RA, Chan KS, Chan KK, Woo PC, et al. Clinical spectrum of paradoxical deterioration during antituberculosis therapy in non-HIV-infected patients. Eur J Clin Microbiol Infect Dis 2002;21:803-809.
  • 7. Narita M, Ashkin D, Hollender ES, Pitchenik AE. Paradoxical worsening of tuberculosis following antiretroviral therapy in patients with AIDS. Am J Respir Crit Care Med 1998;158:157-161.
  • 8. Cho OH, Park KH, Kim T, Song EH, Jang EY, Lee EJ, et al. Paradoxical responses in non-HIV-infected patients with peripheral lymph node tuberculosis. J Infect 2009;59:56-61.
  • 9. Jung JW, Shin JW, Kim JY, Park IW, Choi BW, Seo JS, et al. Risk factors for development of paradoxical response during anti-tuberculosis treatment in HIV-negative patients with pleural tuberculosis. Tohoku J Exp Med 2011;223:199-204.
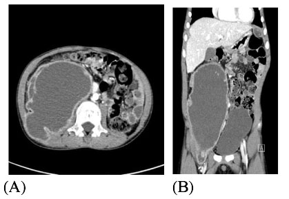
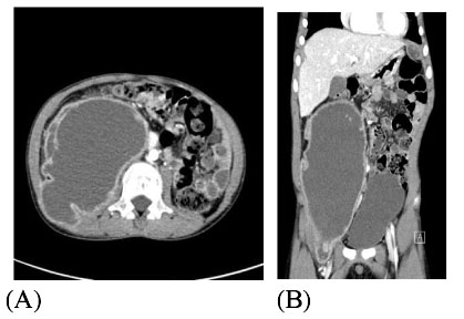
Fig. 1
(A). A cross sectional view of the abdominal CT with contrast shows huge iliopsoas abscess (27 × 7.6 × 9.5 cm) with well enhancing rim on the right side of the abdomen. (B). In an axial view, variable sized multiple intraabdominal abscesses were also seen under the subcapsular area of the liver and left subphrenic area.
jkaps-19-150-g001.jpg
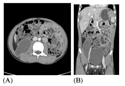
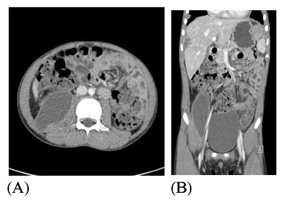
Fig. 2
(A). A cross sectional view of the abdominal CT with contrast shows 16 × 4.6 cm sized iliopsoas abscess with enhancing rim on the right side of the abdomen. (B). In an axial view, increased sized multiple intraabdominal abscesses were seen under the subcapsular area of the liver and left subphrenic area.
jkaps-19-150-g002.jpg

Download Citation

Download a citation file in RIS format that can be imported by all major citation management software, including EndNote, ProCite, RefWorks, and Reference Manager.

Format:

Include:

Tuberculous Iliopsoas Muscle Abscess Associated with Multiple Intraabdominal and Thoracic Abscesses in 9-year-old Boy
J Korean Assoc Pediatr Surg. 2013;19(2):150-155.   Published online December 24, 2013
Download Citation

Download a citation file in RIS format that can be imported by all major citation management software, including EndNote, ProCite, RefWorks, and Reference Manager.

Format:
Include:
Tuberculous Iliopsoas Muscle Abscess Associated with Multiple Intraabdominal and Thoracic Abscesses in 9-year-old Boy
J Korean Assoc Pediatr Surg. 2013;19(2):150-155.   Published online December 24, 2013
Close

Figure

  • 0
  • 1
Tuberculous Iliopsoas Muscle Abscess Associated with Multiple Intraabdominal and Thoracic Abscesses in 9-year-old Boy
Image Image
Fig. 1 (A). A cross sectional view of the abdominal CT with contrast shows huge iliopsoas abscess (27 × 7.6 × 9.5 cm) with well enhancing rim on the right side of the abdomen. (B). In an axial view, variable sized multiple intraabdominal abscesses were also seen under the subcapsular area of the liver and left subphrenic area.
Fig. 2 (A). A cross sectional view of the abdominal CT with contrast shows 16 × 4.6 cm sized iliopsoas abscess with enhancing rim on the right side of the abdomen. (B). In an axial view, increased sized multiple intraabdominal abscesses were seen under the subcapsular area of the liver and left subphrenic area.
Tuberculous Iliopsoas Muscle Abscess Associated with Multiple Intraabdominal and Thoracic Abscesses in 9-year-old Boy