Skip to main navigation Skip to main content
  • KAPS
  • E-Submission

APS : Advances in Pediatric Surgery

OPEN ACCESS
ABOUT
BROWSE ARTICLES
EDITORIAL POLICY
FOR CONTRIBUTORS
Case Report

Laparoscopic-Assisted Transanal Endorectal Pull-Through for Segmental Dilatation of Rectosigmoid Colon in a Child

Journal of the Korean Association of Pediatric Surgeons 2013;19(2):156-161.
Published online: December 24, 2013

1Department of Pathology, Graduate school of Medicine, Kyungpook National University, Taegu, Korea.

Department of Pediatric Surgery, Graduate school of Medicine, Kyungpook National University, Taegu, Korea.

Correspondence: Jinyoung Park, M.D., Department of Surgery, Kyungpook National University Hospital, 50 Samduk-2 Ga, Chung-gu, Taegu 700-721, Korea. Tel: 053)420-5612, Fax: 053)421-0510, kpnugs@knu.ac.kr
• Received: October 16, 2013   • Accepted: November 29, 2013

Copyright © 2013 Korean Association of Pediatric Surgeons

  • 202 Views
  • 0 Download
prev
  • Congenital segmental dilatation of the colon is a very rare entity of unknown etiology, characterized by a localized dilatation of a bowel segment of the colon of variable length and an abrupt transition between the normal and dilated intestine. It can affect any part of the colon, with the rectosigmoid colon being the most commonly affected site. The clinical and radiological features may resemble that of Hirschsprung disease, but differ in that the normal ganglion cells are found in the dilated and normal segment of the colon. We performed laparoscopic-assisted transanal endorectal pull-through for segmental dilatation of rectosigmoid colon in an 8-year-old boy with chronic constipation since the age of 5 months.
  • 1. Swenson O, Rathauser F. Segmental dilatation of the colon: a new entity. Am J Surg 1959;97:734-738.
  • 2. Helikson MA, Schapiro MB, Garfinkel DJ, Shermeta DW. Congenital segmental dilatation of the colon. J Pediatr Surg 1982;17:201-202.
  • 3. Mizote H, Oku H, Gu L, Hikita S, Tanaka Y, Kakegawa T. Congenital segmental dilatation of the colon. Kurume Med J 1988;35:89-93.
  • 4. AL-Salem AH, Grant C. Segmental dilatation of the colon. Report of a case and review of the literature. Dis Colon Rectum 1990;33:515-518.
  • 5. Sarin YK, Singh VP. Congenital segmental dilatation of colon. Indian Pediatr 1995;32:116-118.
  • 6. Ravasse P, Petit T, Cau D, Delmas P. Volvulus of the sigmoid colon as a complication of segmental dilatation of the colon. Report of two cases. Eur J Pediatr Surg 1996;6:375-377.
  • 7. Mathur P, Mogra N, Surana SS, Bordia S. Congenital segmental dilatation of the colon with anorectal malformation. J Pediatr Surg 2004;39:e18-e20.
  • 8. Kothari P, Gowrishankar , Rastogi A, Dipali R, Kulkarni B. Gowrishankar. Congenital segmental dilatation of colon with colonic atresia. Indian J Gastroenterol 2005;24:123-124.
  • 9. Alqahtani AR. Laparoscopic-assisted sigmoid resection for colonic ectasia in a neonate. J Pediatr Surg 2010;45:1714-1716.
  • 10. Mahadevaiah SA, Panjwani P, Kini U, Mohanty S, Das K. Segmental dilatation of sigmoid colon in a neonate: atypical presentation and histology. J Pediatr Surg 2011;46:e1-e4.
  • 11. Irving IM, Lister J. Segmental dilatation of the ileum. J Pediatr Surg 1977;12:103-112.
  • 12. Mathé JC, Khairallah S, Phat Vuoung NP, Boccon-Gibod L, Rey A, Costil J. Segmental dilatation of the ileum in a neonate. Study of the myenteric plexus with a silver staining preparation (author's transl). Nouv Presse Med 1982;11:265-266.
  • 13. Georgeson KE, Robertson DJ. Laparoscopic-assisted approaches for the definitive surgery for Hirschsprung's disease. Semin Pediatr Surg 2004;13:256-262.
  • 14. Antao B, Roberts J. Laparoscopic-assisted transanal endorectal coloanal anastomosis for Hirschsprung's disease. J Laparoendosc Adv Surg Tech A 2005;15:75-79.
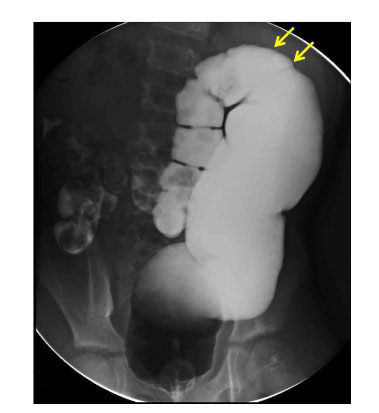
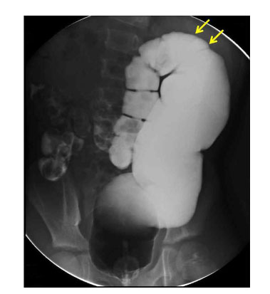
Fig. 1
Barium enema shows dilated rectosigmoid colon with abrupt transition to a normal proximal colon.
jkaps-19-156-g001.jpg
Fig. 2
Intraoperative photograph shows a localized dilatation of the rectosigmoid colon with normal colon proximally. Note also the dilated and tortuous mesocolic and serosal blood vessels.
jkaps-19-156-g002.jpg
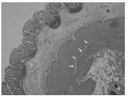
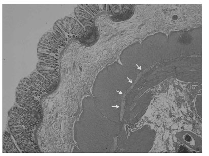
Fig. 3
Microscopic examination shows marked hypertrophy of the inner circular muscle layer and abnormal location of ganglion cells (oblique arrows) within the inner circular muscle layer (H & E, × 20).
jkaps-19-156-g003.jpg

Download Citation

Download a citation file in RIS format that can be imported by all major citation management software, including EndNote, ProCite, RefWorks, and Reference Manager.

Format:

Include:

Laparoscopic-Assisted Transanal Endorectal Pull-Through for Segmental Dilatation of Rectosigmoid Colon in a Child
J Korean Assoc Pediatr Surg. 2013;19(2):156-161.   Published online December 24, 2013
Download Citation

Download a citation file in RIS format that can be imported by all major citation management software, including EndNote, ProCite, RefWorks, and Reference Manager.

Format:
Include:
Laparoscopic-Assisted Transanal Endorectal Pull-Through for Segmental Dilatation of Rectosigmoid Colon in a Child
J Korean Assoc Pediatr Surg. 2013;19(2):156-161.   Published online December 24, 2013
Close

Figure

  • 0
  • 1
  • 2
Laparoscopic-Assisted Transanal Endorectal Pull-Through for Segmental Dilatation of Rectosigmoid Colon in a Child
Image Image Image
Fig. 1 Barium enema shows dilated rectosigmoid colon with abrupt transition to a normal proximal colon.
Fig. 2 Intraoperative photograph shows a localized dilatation of the rectosigmoid colon with normal colon proximally. Note also the dilated and tortuous mesocolic and serosal blood vessels.
Fig. 3 Microscopic examination shows marked hypertrophy of the inner circular muscle layer and abnormal location of ganglion cells (oblique arrows) within the inner circular muscle layer (H & E, × 20).
Laparoscopic-Assisted Transanal Endorectal Pull-Through for Segmental Dilatation of Rectosigmoid Colon in a Child