Skip to main navigation Skip to main content
  • KAPS
  • E-Submission

APS : Advances in Pediatric Surgery

OPEN ACCESS
ABOUT
BROWSE ARTICLES
EDITORIAL POLICY
FOR CONTRIBUTORS
Case Report

Bile Duct Stricture and Intrahepatic Cystic Formation after Abdominal Injury due to Child Abuse: A Case Report

Journal of the Korean Association of Pediatric Surgeons 2018;24(1):30-34.
Published online: June 30, 2018

1Department of Surgery, Yonsei University College of Medicine, Seoul, Korea.

2Department of Pediatric Surgery, Severance Children's Hospital, Seoul, Korea.

3Department of Pediatric Surgery, Keimyung University Dongsan Medical Center, Daegu, Korea.

Correspondence: Seok Joo Han, Department of Pediatric Surgery, Severance Children's Hospital, Department of Surgery, Yonsei University College of Medicine, 50 Yonsei-ro, Seodaemun-gu, Seoul 03722, Korea. Tel: +82-2-2228-2130, Fax: +82-2-313-8289, sjhan@yuhs.ac
• Received: April 15, 2018   • Accepted: May 15, 2018

Copyright © 2018 Korean Association of Pediatric Surgeons

This is an Open Access article distributed under the terms of the Creative Commons Attribution Non-Commercial License (https://creativecommons.org/licenses/by-nc/4.0) which permits unrestricted non-commercial use, distribution, and reproduction in any medium, provided the original work is properly cited.

  • 176 Views
  • 0 Download
prev
  • A 6-year-old male who lived with a mother in a single-parent family was referred to the emergency room with multiple traumas. There was no specific finding on CT scan of the other hospital performed 55 days before admission. However, CT scan at the time of admission showed common bile duct (CBD) stenosis, proximal biliary dilatation and bile lake formation at the segment II and III. Endoscopic retrograde biliary drainage was performed, but the tube had slipped off spontaneously 36 days later, and follow-up CT scan showed aggravated proximal biliary dilatation above the stricture site. He underwent excision of the CBD including the stricture site, and the bile duct was reconstructed with Roux-en-Y hepaticojejunostomy. Pathologic report of the resected specimen revealed that the evidence of trauma as a cause of bile duct stricture. While non-iatrogenic extrahepatic biliary trauma is uncommon, a level of suspicion is necessary to identify injuries to the extrahepatic bile duct. The role of the physicians who treat the abused children should encompass being suspicious for potential abdominal injury as well as identifying visible injuries.

No potential conflict of interest relevant to this article was reported.

  • 1. National Child Protection Agency. 2015 National Children's Abuse Status Report. Sejong: Ministry of Health and Bureau of childcare policye; 2016.
  • 2. Ledbetter DJ, Hatch EI Jr, Feldman KW, Fligner CL, Tapper D. Diagnostic and surgical implications of child abuse. Arch Surg 1988;123:1101-1105.
  • 3. Hudson M, Kaplan R. Clinical response to child abuse. Pediatr Clin North Am 2006;53:27-39. v.
  • 4. Takamizawa S, Nozaki N, Aoyama N, Nishijima E, Muraji T. Endoscopic retrograde biliary drainage for posttraumatic intrapancreatic biliary stenosis in a child. J Pediatr Surg 2009;44:e25-e28.
  • 5. McDonald KC. Child abuse: approach and management. Am Fam Physician 2007;75:221-228.
  • 6. Kellogg ND. American Academy of Pediatrics Committee on Child Abuse and Neglect. Evaluation of suspected child physical abuse. Pediatrics 2007;119:1232-1241.
  • 7. Park DH, Kim MH, Kim TN, Son HY, Lee TY, Kwon S, et al. Endoscopic treatment for suprapancreatic biliary stricture following blunt abdominal trauma. Am J Gastroenterol 2007;102:544-549.
  • 8. Yoon KH, Ha HK, Kim MH, Seo DW, Kim CG, Bang SW, et al. Biliary stricture caused by blunt abdominal trauma: clinical and radiologic features in five patients. Radiology 1998;207:737-741.
  • 9. Mullady DK, Carr-Locke DL. Traumatic biliary stricture. Medscape J Med 2008;10:114.
  • 10. Yu L, Hao J, Wang WL, Xia JM, Lu Y, Wang B. Treatment of late biliary stricture after blunt abdominal trauma. Eur J Gastroenterol Hepatol 2013;25:690-693.
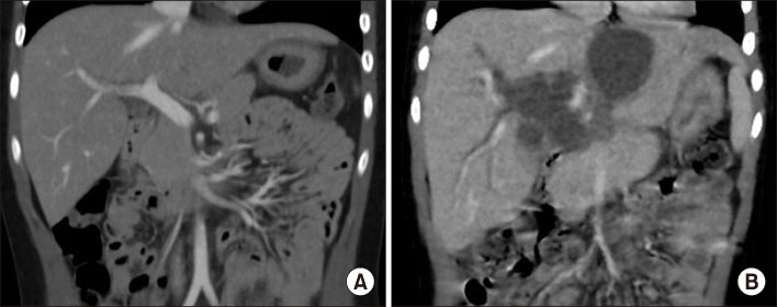
Fig. 1

Contrast-enhanced abdominal CT scan. (A) CT scan taken two months before admission shows no visible bile duct dilatation or bile lake in the upper abdomen. (B) CT scan taken at the admission shows stenosis at proximal common bile duct with common hepatic duct dilatation and a bile lake at S2/3 of the liver.

jkaps-24-30-g001.jpg
Fig. 2

Timeline plot of clinical course. CBD, common bile duct; ERBD, endoscopic retrograde biliary drainage.

jkaps-24-30-g002.jpg
Fig. 3

The changes and trends of each liver function tests. TB, total bilirubin; GGT, gamma-glutamyl transpeptidase; ERBD, endoscopic retrograde biliary drainage.

jkaps-24-30-g003.jpg
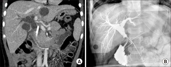
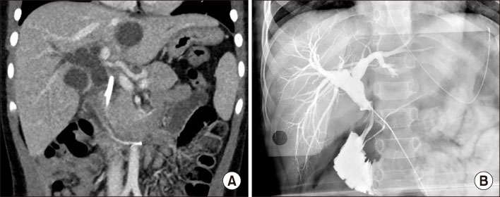
Fig. 4

(A) CT scan taken at the 2nd admission shows the distal migration of endoscopic retrograde biliary drainage catheter with aggravated proximal biliary dilatation above the stricture site of mid-common bile duct. (B) Cholangiography during the operation.

jkaps-24-30-g004.jpg
Fig. 5

Linear capsular fibrotic change on the left 3 cm from the falciform ligament (arrows).

jkaps-24-30-g005.jpg

Download Citation

Download a citation file in RIS format that can be imported by all major citation management software, including EndNote, ProCite, RefWorks, and Reference Manager.

Format:

Include:

Bile Duct Stricture and Intrahepatic Cystic Formation after Abdominal Injury due to Child Abuse: A Case Report
J Korean Assoc Pediatr Surg. 2018;24(1):30-34.   Published online June 30, 2018
Download Citation

Download a citation file in RIS format that can be imported by all major citation management software, including EndNote, ProCite, RefWorks, and Reference Manager.

Format:
Include:
Bile Duct Stricture and Intrahepatic Cystic Formation after Abdominal Injury due to Child Abuse: A Case Report
J Korean Assoc Pediatr Surg. 2018;24(1):30-34.   Published online June 30, 2018
Close

Figure

  • 0
  • 1
  • 2
  • 3
  • 4
Bile Duct Stricture and Intrahepatic Cystic Formation after Abdominal Injury due to Child Abuse: A Case Report
Image Image Image Image Image
Fig. 1 Contrast-enhanced abdominal CT scan. (A) CT scan taken two months before admission shows no visible bile duct dilatation or bile lake in the upper abdomen. (B) CT scan taken at the admission shows stenosis at proximal common bile duct with common hepatic duct dilatation and a bile lake at S2/3 of the liver.
Fig. 2 Timeline plot of clinical course. CBD, common bile duct; ERBD, endoscopic retrograde biliary drainage.
Fig. 3 The changes and trends of each liver function tests. TB, total bilirubin; GGT, gamma-glutamyl transpeptidase; ERBD, endoscopic retrograde biliary drainage.
Fig. 4 (A) CT scan taken at the 2nd admission shows the distal migration of endoscopic retrograde biliary drainage catheter with aggravated proximal biliary dilatation above the stricture site of mid-common bile duct. (B) Cholangiography during the operation.
Fig. 5 Linear capsular fibrotic change on the left 3 cm from the falciform ligament (arrows).
Bile Duct Stricture and Intrahepatic Cystic Formation after Abdominal Injury due to Child Abuse: A Case Report