Skip to main navigation Skip to main content
  • KAPS
  • E-Submission

APS : Advances in Pediatric Surgery

OPEN ACCESS
ABOUT
BROWSE ARTICLES
EDITORIAL POLICY
FOR CONTRIBUTORS
Review Article

Congenital Esophageal Stenosis in Children: From Etiology to Prognosis

Journal of the Korean Association of Pediatric Surgeons 2018;24(1):1-4.
Published online: June 30, 2018

1Department of Pediatric Surgery, Pusan National University Children's Hospital, Yangsan, Korea.

2Department of Pediatric Surgery, Seoul National University Children's Hospital, Seoul, Korea.

Correspondence: Hyun-Young Kim. Department of Pediatric Surgery, Seoul National University Children's Hospital, 101 Daehak-ro, Jongno-gu, Seoul 03080, Korea. Tel: +82-2-2072-2478, Fax: +82-2-747-5130, spkhy02@snu.ac.kr
• Received: March 5, 2018   • Accepted: April 13, 2018

Copyright © 2018 Korean Association of Pediatric Surgeons

This is an Open Access article distributed under the terms of the Creative Commons Attribution Non-Commercial License (https://creativecommons.org/licenses/by-nc/4.0) which permits unrestricted non-commercial use, distribution, and reproduction in any medium, provided the original work is properly cited.

  • 310 Views
  • 6 Download
next
  • Congenital esophageal stenosis (CES) is a rare disease that has been reported to occur once in every 25,000 to 50,000 births. According to its etiology, CES is divided into 3 subtypes, tracheobronchial remnants (TBR), fibromuscular hypertrophy (FMH) and membranous diaphragm (MD). Symptoms begin at the weaning period and the introduction of solid food around 6 months with dysphagia and vomiting. Esophagography is first screening test and endoscopic ultrasonography plays important roles to diagnose subtypes deciding therapeutic plan. TBRs were generally treated with surgical resection and end-to-end anasotomosis, whereas FMH and MD had good response rate to endoscopic or radiologic guided dilatation. This article reviews the literature on the etiology, clinical course, diagnosis and management of CES including recent opinion.

No potential conflict of interest relevant to this article was reported.

  • 1. Nihoul-Fékété C, De Backer A, Lortat-Jacob S, Pellerin D. Congenital esophageal stenosis. Pediatr Surg Int 1987;2:86-92.
  • 2. Ramesh JC, Ramanujam TM, Jayaram G. Congenital esophageal stenosis: report of three cases, literature review, and a proposed classification. Pediatr Surg Int 2001;17:188-192.
  • 3. Nemolato S, De Hertogh G, Van Eyken P, Faa G, Geboes K. Oesophageal tracheobronchial remnants. Gastroenterol Clin Biol 2008;32:779-781.
  • 4. Valerio D, Jones PF, Stewart AM. Congenital oesophageal stenosis. Arch Dis Child 1977;52:414-416.
  • 5. Zhao LL, Hsieh WS, Hsu WM. Congenital esophageal stenosis owing to ectopic tracheobronchial remnants. J Pediatr Surg 2004;39:1183-1187.
  • 6. Nishina T, Tsuchida Y, Saito S. Congenital esophageal stenosis due to tracheobronchial remnants and its associated anomalies. J Pediatr Surg 1981;16:190-193.
  • 7. Harmon CM, Coran AG. Congenital anomalies of the esophagus. In Coran AG, Adzick NS, Krummel TM, Laberge J, Shamberger RC, Caldmone AA, eds, ddPediatric surgery. 7th ed. Philadelphia: Elsevier Saunders; 2012, pp 915-916.
  • 8. Nam SH, Kim DY, Kim SC, Kim IK. The diagnosis and treatment of congenital esophageal stenosis. J Korean Surg Soc 2009;76:383-387.
  • 9. Oh CH, Levine MS, Katzka DA, Rubesin SE, Pinheiro LW, Amygdalos MA, et al. Congenital esophageal stenosis in adults: clinical and radiographic findings in seven patients. AJR Am J Roentgenol 2001;176:1179-1182.
  • 10. Younes Z, Johnson DA. Congenital esophageal stenosis: clinical and endoscopic features in adults. Dig Dis 1999;17:172-177.
  • 11. Kim SH, Kim HY, Jung SE, Lee SC, Park KW. Clinical study of congenital esophageal stenosis: comparison according to association of esophageal atresia and tracheoesophageal fistula. Pediatr Gastroenterol Hepatol Nutr 2017;20:79-86.
  • 12. Amae S, Nio M, Kamiyama T, Ishii T, Yoshida S, Hayashi Y, et al. Clinical characteristics and management of congenital esophageal stenosis: a report on 14 cases. J Pediatr Surg 2003;38:565-570.
  • 13. Trappey AF 3rd, Hirose S. Esophageal duplication and congenital esophageal stenosis. Semin Pediatr Surg 2017;26:78-86.
  • 14. Murphy SG, Yazbeck S, Russo P. Isolated congenital esophageal stenosis. J Pediatr Surg 1995;30:1238-1241.
  • 15. Yoo HJ, Kim WS, Cheon JE, Yoo SY, Park KW, Jung SE, et al. Congenital esophageal stenosis associated with esophageal atresia/tracheoesophageal fistula: clinical and radiologic features. Pediatr Radiol 2010;40:1353-1359.
  • 16. Lee KS. Preoperative diagnosis of congenital esophageal stenosis caused by tracheobronchial remnants using miniprobe endoscopic ultrasonography in a child. Pediatr Gastroenterol Hepatol Nutr 2012;15:52-56.
  • 17. Takamizawa S, Tsugawa C, Mouri N, Satoh S, Kanegawa K, Nishijima E, et al. Congenital esophageal stenosis: therapeutic strategy based on etiology. J Pediatr Surg 2002;37:197-201.
  • 18. Quiros JA, Hirose S, Patino M, Lee H. Esophageal tracheobronchial remnant, endoscopic ultrasound diagnosis, and surgical management. J Pediatr Gastroenterol Nutr 2013;56:e14.
  • 19. Suzuhigashi M, Kaji T, Noguchi H, Muto M, Goto M, Mukai M, et al. Current characteristics and management of congenital esophageal stenosis: 40 consecutive cases from a multicenter study in the Kyushu area of Japan. Pediatr Surg Int 2017;33:1035-1040.
  • 20. Romeo E, Foschia F, de Angelis P, Caldaro T, Federici di Abriola G, Gambitta R, et al. Endoscopic management of congenital esophageal stenosis. J Pediatr Surg 2011;46:838-841.
  • 21. Vasudevan SA, Kerendi F, Lee H, Ricketts RR. Management of congenital esophageal stenosis. J Pediatr Surg 2002;37:1024-1026.
  • 22. Saka R, Okuyama H, Sasaki T, Nose S, Oue T. Thoracoscopic resection of congenital esophageal stenosis. Asian J Endosc Surg 2017;10:321-324.
  • 23. Kawahara H, Oue T, Okuyama H, Kubota A, Okada A. Esophageal motor function in congenital esophageal stenosis. J Pediatr Surg 2003;38:1716-1719.
  • 24. Elhalaby EA, Elbarbary MM, Hashish AA, Kaddah SN, Hamza AF. Congenital esophageal stenosis: to dilate or to resect. Ann Pediatr Surg 2006;2:2-9.
  • 25. Michaud L, Coutenier F, Podevin G, Bonnard A, Becmeur F, Khen-Dunlop N, et al. Characteristics and management of congenital esophageal stenosis: findings from a multicenter study. Orphanet J Rare Dis 2013;8:186.
  • 26. Terui K, Saito T, Mitsunaga T, Nakata M, Yoshida H. Endoscopic management for congenital esophageal stenosis: a systematic review. World J Gastrointest Endosc 2015;7:183-191.
Fig. 1

Histologic findings of the resected congenital esophageal stenosis segment revealed respiratory epithelium (arrows) and cartilage (arrowheads) in the esophageal wall (H&E, ×40).

jkaps-24-1-g001.jpg
Fig. 2

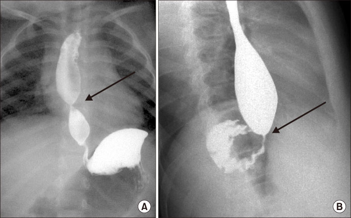
Upper gastrointestinal contrast study revealed a dilated esophagus proximal to a distal esophageal stenosis (arrows). (A) Anteroposterior view. (B) Lateral view.

jkaps-24-1-g002.jpg
Fig. 3

Endoscopic ultrasound revealed hypoechoic structure in the esophageal wall. Data from the article of Quiros et al. (J Pediatr Gastroenterol Nutr 2013;56:e14) [18].

jkaps-24-1-g003.jpg

Download Citation

Download a citation file in RIS format that can be imported by all major citation management software, including EndNote, ProCite, RefWorks, and Reference Manager.

Format:

Include:

Congenital Esophageal Stenosis in Children: From Etiology to Prognosis
J Korean Assoc Pediatr Surg. 2018;24(1):1-4.   Published online June 30, 2018
Download Citation

Download a citation file in RIS format that can be imported by all major citation management software, including EndNote, ProCite, RefWorks, and Reference Manager.

Format:
Include:
Congenital Esophageal Stenosis in Children: From Etiology to Prognosis
J Korean Assoc Pediatr Surg. 2018;24(1):1-4.   Published online June 30, 2018
Close

Figure

  • 0
  • 1
  • 2
Congenital Esophageal Stenosis in Children: From Etiology to Prognosis
Image Image Image
Fig. 1 Histologic findings of the resected congenital esophageal stenosis segment revealed respiratory epithelium (arrows) and cartilage (arrowheads) in the esophageal wall (H&E, ×40).
Fig. 2 Upper gastrointestinal contrast study revealed a dilated esophagus proximal to a distal esophageal stenosis (arrows). (A) Anteroposterior view. (B) Lateral view.
Fig. 3 Endoscopic ultrasound revealed hypoechoic structure in the esophageal wall. Data from the article of Quiros et al. (J Pediatr Gastroenterol Nutr 2013;56:e14) [18].
Congenital Esophageal Stenosis in Children: From Etiology to Prognosis