Skip to main navigation Skip to main content
  • KAPS
  • E-Submission

APS : Advances in Pediatric Surgery

OPEN ACCESS
ABOUT
BROWSE ARTICLES
EDITORIAL POLICY
FOR CONTRIBUTORS
Case Report

Median Raphe Cyst in a 2-Year-Old Boy

Journal of the Korean Association of Pediatric Surgeons 2015;21(2):35-37.
Published online: December 22, 2015

Department of Surgery, Kyungpook National University School of Medicine, Daegu, Korea.

Correspondence: Jinyoung Park. Department of Surgery, Kyungpook National University Hospital, 130 Dongdeok-ro, Jung-gu, Daegu 41944, Korea. Tel: +82-53-420-5612, Fax: +82-53-421-0510, kpnugs@knu.ac.kr
• Received: June 9, 2015   • Revised: July 7, 2015   • Accepted: July 7, 2015

Copyright © 2015 by the Korean Association of Pediatric Surgeons

This is an Open Access article distributed under the terms of the Creative Commons Attribution Non-Commercial License (https://creativecommons.org/licenses/by-nc/4.0) which permits unrestricted non-commercial use, distribution, and reproduction in any medium, provided the original work is properly cited.

  • 700 Views
  • 0 Download
prev next
  • Median raphe cyst (MRC) of the perineum is rare congenital midline cyst of the male genitalia. MRC is thought to be caused by congenital alterations in the embryologic development of the male genitalia during fetal life. MRC can be found on the midline position between the urethral meatus and the anus. The lesion can be cystic, but sometimes it looks like an elongated configuration called a raphe canal. Diagnosis in childhood is particularly rare because they are usually asymptomatic, but some cases have reportedly been identified after infection. Although conservative treatment can be possible in small asymptomatic lesions, the treatment of choice is simple excision followed by primary closure in symptomatic cases. We describe here the case of 2-year-old boy presented at our institution with a 10-month history of anomaly of the perineal median raphe, which was treated by surgical excision.

No potential conflict of interest relevant to this article was reported.

This article was displayed as a poster at the 66th Annual Congress of the Korean Surgical Society on November 2014 in Seoul, Korea.

  • 1. Soyer T, Karabulut AA, Boybeyi Ö, Günal YD. Scrotal pearl is not always a sign of anorectal malformation: median raphe cyst. Turk J Pediatr 2013;55:665-666.
  • 2. Krauel L, Tarrado X, Garcia-Aparicio L, Lerena J, Suñol M, Rodó J, et al. Median raphe cysts of the perineum in children. Urology 2008;71:830-831.
  • 3. Ravasse P, Petit T, Pasquier CJ. Perineal median raphe canal: a typical image. Urology 2002;59:136.
  • 4. Park CO, Chun EY, Lee JH. Median raphe cyst on the scrotum and perineum. J Am Acad Dermatol 2006;55:5 Suppl. S114-S115.
  • 5. Navarro HP, Lopez PC, Ruiz JM, Martinez Sanchiz C, Cha SH, Sanchez AS, et al. Median raphe cyst. Report of two cases and literature review. Arch Esp Urol 2009;62:585-589.
  • 6. Sagar J, Sagar B, Patel AF, Shak DK. Ciliated median raphe cyst of perineum presenting as perianal polyp: a case report with immunohistochemical study, review of literature, and pathogenesis. ScientificWorldJournal 2006;6:2339-2344.
  • 7. Lee JN, Kim HT, Chung SK. Median raphe cysts of the scrotum and perineum presenting with recurrent infection. Korean J Urogenit Tract Infect Inflamm 2014;9:119-121.
  • 8. Jung JY, Kim DY, Park CO, Chung HJ, Lee MG. A case of median raphe cyst on the scrotum with atypical histologic features. Korean J Dermatol 2006;44:1109-1113.
  • 9. Chung SJ, Shin JH, Kim KH, Kim KJ. A case of median raphe cyst. Korean J Dermatol 2000;38:1260-1261.
  • 10. Heo YS, Kwon JI, Park RW, Kim YS. Two cases of median raphe cyst of male external genitalia. Korean J Urol 2000;41:349-351.
  • 11. Shibagaki N, Ohtake N, Furue M. Spontaneous regression of congenital multiple median raphe cysts of the raphe scroti. Br J Dermatol 1996;134:376-378.
Fig. 1
A 2-year-old boy presents with median raphe cyst of the perineum.
jkaps-21-35-g001.jpg
Fig. 2
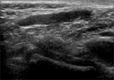
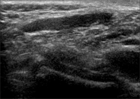
Perineal ultrasonography reveals hypoechoic tubular mass without any communication between the mass and other organ.
jkaps-21-35-g002.jpg
Fig. 3
Probing with lacrimal gland probe demonstrates a unilocular tubular lesion.
jkaps-21-35-g003.jpg
Fig. 4
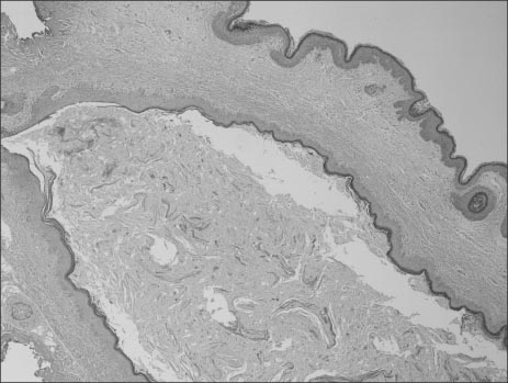
Histopathologic finding reveals that the unilocular cystic cavity is lined by a stratified squamous epithelium (H&E, ×40).
jkaps-21-35-g004.jpg
Fig. 5
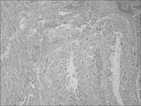
Some part shows the granulomatous foreign body reaction (H&E, ×100).
jkaps-21-35-g005.jpg

Download Citation

Download a citation file in RIS format that can be imported by all major citation management software, including EndNote, ProCite, RefWorks, and Reference Manager.

Format:

Include:

Median Raphe Cyst in a 2-Year-Old Boy
J Korean Assoc Pediatr Surg. 2015;21(2):35-37.   Published online December 22, 2015
Download Citation

Download a citation file in RIS format that can be imported by all major citation management software, including EndNote, ProCite, RefWorks, and Reference Manager.

Format:
Include:
Median Raphe Cyst in a 2-Year-Old Boy
J Korean Assoc Pediatr Surg. 2015;21(2):35-37.   Published online December 22, 2015
Close

Figure

  • 0
  • 1
  • 2
  • 3
  • 4
Median Raphe Cyst in a 2-Year-Old Boy
Image Image Image Image Image
Fig. 1 A 2-year-old boy presents with median raphe cyst of the perineum.
Fig. 2 Perineal ultrasonography reveals hypoechoic tubular mass without any communication between the mass and other organ.
Fig. 3 Probing with lacrimal gland probe demonstrates a unilocular tubular lesion.
Fig. 4 Histopathologic finding reveals that the unilocular cystic cavity is lined by a stratified squamous epithelium (H&E, ×40).
Fig. 5 Some part shows the granulomatous foreign body reaction (H&E, ×100).
Median Raphe Cyst in a 2-Year-Old Boy