Skip to main navigation Skip to main content
  • KAPS
  • E-Submission

APS : Advances in Pediatric Surgery

OPEN ACCESS
ABOUT
BROWSE ARTICLES
EDITORIAL POLICY
FOR CONTRIBUTORS
Original Article

Surgical Treatment of Difficult Cervicofacial Lymphangioma in Children

Journal of the Korean Association of Pediatric Surgeons 2015;21(2):17-23.
Published online: December 22, 2015

1Division of Pediatric Surgery, Department of Surgery, Samsung Medical Center, Sungkyunkwan University School of Medicine, Seoul, Korea.

2Department of Plastic Surgery, Samsung Medical Center, Sungkyunkwan University School of Medicine, Seoul, Korea.

Correspondence: Jeong-Meen Seo. Department of Surgery, Samsung Medical Center, Sungkyunkwan University School of Medicine, 81 Irwon-ro, Gangnam-gu, Seoul 06351, Korea. Tel: +82-2-3410-0282, Fax: +82-2-3410-0040, jm0815.seo@samsung.com
• Received: July 28, 2015   • Revised: September 21, 2015   • Accepted: October 12, 2015

Copyright © 2015 by the Korean Association of Pediatric Surgeons

This is an Open Access article distributed under the terms of the Creative Commons Attribution Non-Commercial License (https://creativecommons.org/licenses/by-nc/4.0) which permits unrestricted non-commercial use, distribution, and reproduction in any medium, provided the original work is properly cited.

  • 294 Views
  • 1 Download
  • 3 Crossref
next
  • Purpose
    Cervical lymphangiomas are rare lymphovascular malformations arising in the neck, which form huge fluid-containing cysts. Treatment of the malformation consists of surgery and sclerotherapy. However, the optimal approach is still controversial. Here, we describe a series of cervical lymphangiomas which have been treated with surgical approaches.
  • Methods
    We retrospectively investigated the medical records of 82 patients who had been diagnosed with cervicofacial lymphangioma from 2001 to 2012 in our center. A closed suction drainage with negative pressure was placed on the operative lesion following excision to prevent reaccumulation of lymphatic fluid and the drainage tube was removed after injecting OK-432 through the tube.
  • Results
    Twelve patients underwent surgical excision of cervical lymphangioma. The median patient age was 3 months at the time of the operation. The patients have been followed-up over a period of 34 months. When lesions were located near vital organs such as the trachea or carotid artery or did not respond to repetitive OK-432 injections, surgical treatment might bring good outcomes. However, swallowing difficulty, lip palsy, or dyslalia due to adjacent nerve damage temporarily appeared as postoperative complications. Five children had tracheostomy due to tracheal or subglottic stenosis and 2 patients had gastrostomy due to aspiration while they eat after surgery.
  • Conclusion
    Surgery for cervicofacial lymphangioma should be conducted carefully in selective cases. A well thought-out surgical plan with a multidisciplinary surgical team approach and placement of closed suction drainage tube after surgery and adjuvant OK-432 sclerotherapy through drainage tube seem to be helpful for good outcome.

No potential conflict of interest relevant to this article was reported.

  • 1. Poldervaart MT, Breugem CC, Speleman L, Pasmans S. Treatment of lymphatic malformations with OK-432 (Picibanil): review of the literature. J Craniofac Surg 2009;20:1159-1162.
  • 2. Weiss SW, Goldblum JR, Enzinger FM. Enzinger and Weiss's soft tissue tumors. 5th ed. Philadelphia, PA: Mosby Elsevier; 2008.
  • 3. Luzzatto C, Midrio P, Tchaprassian Z, Guglielmi M. Sclerosing treatment of lymphangiomas with OK-432. Arch Dis Child 2000;82:316-318.
  • 4. Mitsukawa N, Satoh K. New treatment for cystic lymphangiomas of the face and neck: cyst wall rupture and cyst aspiration combined with sclerotherapy. J Craniofac Surg 2012;23:1117-1119.
  • 5. Churchill P, Otal D, Pemberton J, Ali A, Flageole H, Walton JM. Sclerotherapy for lymphatic malformations in children: a scoping review. J Pediatr Surg 2011;46:912-922.
  • 6. Okazaki T, Iwatani S, Yanai T, Kobayashi H, Kato Y, Marusasa T, et al. Treatment of lymphangioma in children: our experience of 128 cases. J Pediatr Surg 2007;42:386-389.
  • 7. Kim MG, Kim SG, Lee JH, Eun YG, Yeo SG. The therapeutic effect of OK-432 (picibanil) sclerotherapy for benign neck cysts. Laryngoscope 2008;118:2177-2181.
  • 8. Yoo JC, Ahn Y, Lim YS, Hah JH, Kwon TK, Sung MW, et al. OK-432 sclerotherapy in head and neck lymphangiomas: long-term follow-up result. Otolaryngol Head Neck Surg 2009;140:120-123.
  • 9. Adams MT, Saltzman B, Perkins JA. Head and neck lymphatic malformation treatment: a systematic review. Otolaryngol Head Neck Surg 2012;147:627-639.
  • 10. Kim SY, Lee S, Seo JM, Lim SY. Postoperative adjuvant OK-432 sclerotherapy for treatment of cervicofacial lymphatic malformations: an outcomes comparison. Int J Pediatr Otorhinolaryngol 2015;79:570-575.
  • 11. Chakravarti A, Bhargava R. Lymphangioma circumscriptum of the tongue in children: successful treatment using intralesional bleomycin. Int J Pediatr Otorhinolaryngol 2013;77:1367-1369.
  • 12. Hirose S, Harrison MR. The ex utero intrapartum treatment (EXIT) procedure. Semin Neonatol 2003;8:207-214.
  • 13. Leva E, Pansini L, Fava G, Maestri L, Pansini A, Selvaggio G. The role of the surgeon in the case of a giant neck mass in the EXIT procedure. J Pediatr Surg 2005;40:748-750.
  • 14. Stevens GH, Schoot BC, Smets MJ, Kremer B, Manni JJ, Gavilanes AW, et al. The ex utero intrapartum treatment (EXIT) procedure in fetal neck masses: a case report and review of the literature. Eur J Obstet Gynecol Reprod Biol 2002;100:246-250.
Fig. 1
(A) Patient No. 2 was diagnosed with cervical lymphangioma prenatally by fetal MRI. (B) The patient was about to have a surgery 18 days after birth through EXIT procedure. (C) This picture was taken 1 year and 8 months after surgery. EXIT, ex utero intrapartum treatment.
jkaps-21-17-g001.jpg
Fig. 2
(A) Patient No. 4 was transferred to our hospital after OK-432 sclerotherapy. (B) This patient had a surgery about lymphangioma involving from right temporal area to neck. (C) This photograph was taken 9 months after surgery and a subsequent sclerotherapy.
jkaps-21-17-g002.jpg
Fig. 3
(A) Patient No. 6 visited our hospital after having gotten several times of sclerotherapies using OK-432 and ethanol. (B) This photograph was taken 3 years after surgery.
jkaps-21-17-g003.jpg
Fig. 4
(A) MRI shows macrocystic lymphatic malformations which are involving from right neck to axilla before OK-432 sclerotherapy (patient No. 9). (B) Intralesional hemorrhage happened one month after sclerotherapy.
jkaps-21-17-g004.jpg
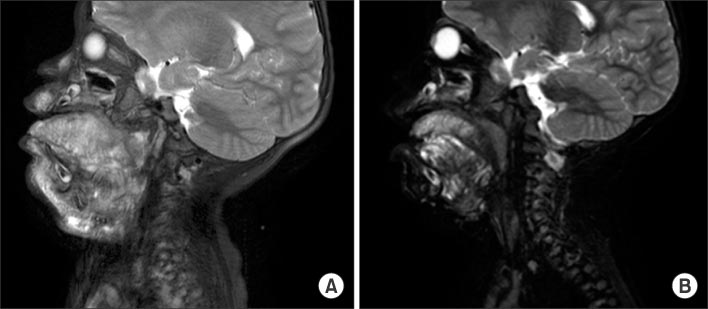
Fig. 5
(A) Sagittal T2-weighted MRI shows cervical lymphangioma which are infiltrating tongue base (patient No. 11). (B) Decreased lymphatic malformation after surgery.
jkaps-21-17-g005.jpg
Table 1
Preoperative Characteristics of 12 Patients with Cervical Lymphangioma and perioperative Details

POD, postoperative day; EXIT, ex utero intrapartum treatment; RFA, radiofrequency ablation.

a)Median 300 min, range 59-559 min. b)Mean 19 days, range 7-46 days.

jkaps-21-17-i001.jpg
Table 2
Distribution of Our Patients according to the Anatomic Location of Lymphangiomas
jkaps-21-17-i002.jpg

Download Citation

Download a citation file in RIS format that can be imported by all major citation management software, including EndNote, ProCite, RefWorks, and Reference Manager.

Format:

Include:

Surgical Treatment of Difficult Cervicofacial Lymphangioma in Children
J Korean Assoc Pediatr Surg. 2015;21(2):17-23.   Published online December 22, 2015
Download Citation

Download a citation file in RIS format that can be imported by all major citation management software, including EndNote, ProCite, RefWorks, and Reference Manager.

Format:
Include:
Surgical Treatment of Difficult Cervicofacial Lymphangioma in Children
J Korean Assoc Pediatr Surg. 2015;21(2):17-23.   Published online December 22, 2015
Close

Figure

  • 0
  • 1
  • 2
  • 3
  • 4
Surgical Treatment of Difficult Cervicofacial Lymphangioma in Children
Image Image Image Image Image
Fig. 1 (A) Patient No. 2 was diagnosed with cervical lymphangioma prenatally by fetal MRI. (B) The patient was about to have a surgery 18 days after birth through EXIT procedure. (C) This picture was taken 1 year and 8 months after surgery. EXIT, ex utero intrapartum treatment.
Fig. 2 (A) Patient No. 4 was transferred to our hospital after OK-432 sclerotherapy. (B) This patient had a surgery about lymphangioma involving from right temporal area to neck. (C) This photograph was taken 9 months after surgery and a subsequent sclerotherapy.
Fig. 3 (A) Patient No. 6 visited our hospital after having gotten several times of sclerotherapies using OK-432 and ethanol. (B) This photograph was taken 3 years after surgery.
Fig. 4 (A) MRI shows macrocystic lymphatic malformations which are involving from right neck to axilla before OK-432 sclerotherapy (patient No. 9). (B) Intralesional hemorrhage happened one month after sclerotherapy.
Fig. 5 (A) Sagittal T2-weighted MRI shows cervical lymphangioma which are infiltrating tongue base (patient No. 11). (B) Decreased lymphatic malformation after surgery.
Surgical Treatment of Difficult Cervicofacial Lymphangioma in Children

Preoperative Characteristics of 12 Patients with Cervical Lymphangioma and perioperative Details

POD, postoperative day; EXIT, ex utero intrapartum treatment; RFA, radiofrequency ablation.

a)Median 300 min, range 59-559 min. b)Mean 19 days, range 7-46 days.

Distribution of Our Patients according to the Anatomic Location of Lymphangiomas

Table 1 Preoperative Characteristics of 12 Patients with Cervical Lymphangioma and perioperative Details

POD, postoperative day; EXIT, ex utero intrapartum treatment; RFA, radiofrequency ablation.

a)Median 300 min, range 59-559 min. b)Mean 19 days, range 7-46 days.

Table 2 Distribution of Our Patients according to the Anatomic Location of Lymphangiomas