Skip to main navigation Skip to main content
  • KAPS
  • E-Submission

APS : Advances in Pediatric Surgery

OPEN ACCESS
ABOUT
BROWSE ARTICLES
EDITORIAL POLICY
FOR CONTRIBUTORS
Original Article

Is Barium Enema Reliable for the Diagnosis of Total Colonic Aganglionosis?

Journal of the Korean Association of Pediatric Surgeons 2018;24(1):10-13.
Published online: June 30, 2018

1Department of Pediatric Surgery, Chonnam National University Children's Hospital, Chonnam National University School of Medicine, Gwangju, Korea.

2Department of Pediatric Surgery, Asan Medical Center Children's Hospital, University of Ulsan College of Medicine, Seoul, Korea.

3Department of Radiology and Research Institute of Radiology, Asan Medical Center, University of Ulsan College of Medicine, Seoul, Korea.

Correspondence: Dae Yeon Kim, Department of Pediatric Surgery, Asan Medical Center Children's Hospital, University of Ulsan College of Medicine, 88 Olympic-ro 43-gil, Songpa-gu, Seoul 05505, Korea. Tel: +82-2-3010-3961, Fax: +82-2-474-6701, kimdy@amc.seoul.kr
• Received: February 9, 2018   • Revised: May 23, 2018   • Accepted: May 25, 2018

Copyright © 2018 Korean Association of Pediatric Surgeons

This is an Open Access article distributed under the terms of the Creative Commons Attribution Non-Commercial License (https://creativecommons.org/licenses/by-nc/4.0) which permits unrestricted non-commercial use, distribution, and reproduction in any medium, provided the original work is properly cited.

  • 253 Views
  • 0 Download
prev next
  • Purpose
    Barium enema is one of the diagnostic modalities for Hirschsprung'sdisease. The present study aimed to investigate the diagnostic accuracy of barium enema for Hirschsprung's disease, especially total colonic aganglionosis (TCA).
  • Methods
    We retrospectively reviewed the medical records of all the patients who were diagnosed as having TCA and underwent a barium enema in Asan Medical Center Children's Hospital between January 1998 and December 2016. All the tests were performed and reviewed by pediatric radiologists.
  • Results
    Among the total 19 patients with TCA who underwent barium enema, 9 patients (47.4%) had accurate radiographic results. Eight of the 13 neonate patients (61.5%) showed typical TCA radiological findings. However, only one of the 6 patients aged >4 weeks (16.7%) had accurate radiological diagnosis.
  • Conclusion
    Barium enema showed low accuracy for TCA, and its diagnostic performance was better in neonatal period than in those aged >4 weeks.

No potential conflict of interest relevant to this article was reported.

  • 1. Cass DT, Myers N. Total colonic aganglionosis: 30 years' experience. Pediatr Surg Int 1987;2:68-75.
  • 2. Moore SW, Zaahl M. Clinical and genetic differences in total colonic aganglionosis in Hirschsprung's disease. J Pediatr Surg 2009;44:1899-1903.
  • 3. Ieiri S, Suita S, Nakatsuji T, Akiyoshi J, Taguchi T. Total colonic aganglionosis with or without small bowel involvement: a 30-year retrospective nationwide survey in Japan. J Pediatr Surg 2008;43:2226-2230.
  • 4. Davies MR, Cywes S, Rode H. The manometric evaluation of the rectosphincteric reflex in total colonic aganglionosis. J Pediatr Surg 1981;16:660-663.
  • 5. Kim H, Kim DY, Kim SC, Namgoong JM, Hwang JH. How reliable are diagnostic methods of Hirschsprung disease? J Korean Assoc Pediatr Surg 2014;20:33-37.
  • 6. Wildhaber BE, Teitelbaum DH, Coran AG. Total colonic Hirschsprung's disease: a 28-year experience. J Pediatr Surg 2005;40:203-206 discussion 206-7.
  • 7. N-Fékété C, Ricour C, Martelli H, Jacob SL, Pellerin D. Total colonic aganglionosis (with or without ileal involvement): a review of 27 cases. J Pediatr Surg 1986;21:251-254.
  • 8. De Lorijn F, Reitsma JB, Voskuijl WP, Aronson DC, Ten Kate FJ, Smets AM, et al. Diagnosis of Hirschsprung's disease: a prospective, comparative accuracy study of common tests. J Pediatr 2005;146:787-792.
  • 9. Stranzinger E, DiPietro MA, Teitelbaum DH, Strouse PJ. Imaging of total colonic Hirschsprung disease. Pediatr Radiol 2008;38:1162-1170.
  • 10. Sane SM, Girdany BR. Total aganglionosis coli. Clinical and roentgenographic manifestations. Radiology 1973;107:397-404.
  • 11. Das Narla L, Hingsbergen EA. Case 22: total colonic aganglionosis: long-segment Hirschsprung disease. Radiology 2000;215:391-394.
  • 12. De Campo JF, Mayne V, Boldt DW, De Campo M. Radiological findings in total aganglionosis coli. Pediatr Radiol 1984;14:205-209.
  • 13. Crelin ES. Functional anatomy of the newborn. New Haven: Yale University Press; 1973.
  • 14. Cremin BJ, Golding RL. Congenital aganglionosis of the entire colon in neonates. Br J Radiol 1976;49:27-33.
  • 15. Jamieson DH, Dundas SE, Belushi SA, Cooper M, Blair GK. Does the transition zone reliably delineate aganglionic bowel in Hirschsprung's disease? Pediatr Radiol 2004;34:811-815.
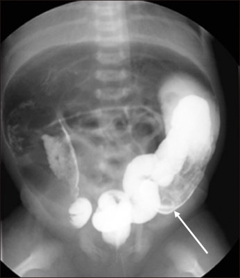
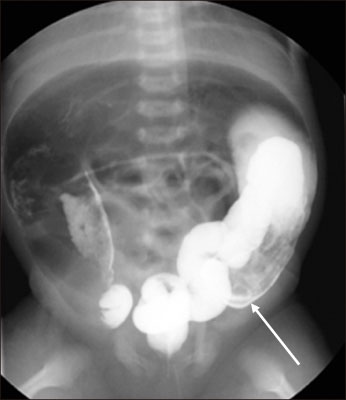
Fig. 1

Full-term 52-day-old boy with total colonic aganglionosis. False-positive transition zone (arrow) is noted at the descending colon (case 3).

jkaps-24-10-g001.jpg
Fig. 2

Total colonic aganglionosis in a 3-day-old boy. Question-mark shape of the colon is noted with cecum and ascending colon. The rectum and descending colon has normal caliber (case 15).

jkaps-24-10-g002.jpg
Table 1

Patients summary

ICV, ileocecal valve; M, male; F, female; SB, small bowel; TCA, total colonic aganglionosis; CMC, congenital megacolon.

jkaps-24-10-i001.jpg

Download Citation

Download a citation file in RIS format that can be imported by all major citation management software, including EndNote, ProCite, RefWorks, and Reference Manager.

Format:

Include:

Is Barium Enema Reliable for the Diagnosis of Total Colonic Aganglionosis?
J Korean Assoc Pediatr Surg. 2018;24(1):10-13.   Published online June 30, 2018
Download Citation

Download a citation file in RIS format that can be imported by all major citation management software, including EndNote, ProCite, RefWorks, and Reference Manager.

Format:
Include:
Is Barium Enema Reliable for the Diagnosis of Total Colonic Aganglionosis?
J Korean Assoc Pediatr Surg. 2018;24(1):10-13.   Published online June 30, 2018
Close

Figure

  • 0
  • 1
Is Barium Enema Reliable for the Diagnosis of Total Colonic Aganglionosis?
Image Image
Fig. 1 Full-term 52-day-old boy with total colonic aganglionosis. False-positive transition zone (arrow) is noted at the descending colon (case 3).
Fig. 2 Total colonic aganglionosis in a 3-day-old boy. Question-mark shape of the colon is noted with cecum and ascending colon. The rectum and descending colon has normal caliber (case 15).
Is Barium Enema Reliable for the Diagnosis of Total Colonic Aganglionosis?

Patients summary

ICV, ileocecal valve; M, male; F, female; SB, small bowel; TCA, total colonic aganglionosis; CMC, congenital megacolon.

Table 1 Patients summary

ICV, ileocecal valve; M, male; F, female; SB, small bowel; TCA, total colonic aganglionosis; CMC, congenital megacolon.