Skip to main navigation Skip to main content
  • KAPS
  • E-Submission

APS : Advances in Pediatric Surgery

OPEN ACCESS
ABOUT
BROWSE ARTICLES
EDITORIAL POLICY
FOR CONTRIBUTORS
Case Report

Effective Management of Gastropares is with Erythromyc in after Laparoscopic Nissen Fundoplication -A case report-

Journal of the Korean Association of Pediatric Surgeons 2012;18(1):30-34.
Published online: June 30, 2012

Department of Pediatric Surgery, Dongsan Medical Center, Keimyung University School of Medicine, Daegu, Korea.

1Department of Pediatrics, Dongsan Medical Center, Keimyung University School of Medicine, Daegu, Korea.

Correspondence: Woo-Hyun Park, M.D., Department of Pediatric Surgery, Keimyung University Dongsan Medical Center, Keimyung University School of Medicine, 194 Dongsan-dong, Jung-gu, Daegu 700-712, Korea. Tel: 053)250-7317, Fax: 053)250-7322, whp0903@dsmc.or.kr
• Received: June 14, 2012   • Accepted: September 26, 2012

Copyright © 2012 Korean Association of Pediatric Surgeons

  • 82 Views
  • 0 Download
prev next
  • Delayed gastric emptying (DGE)commonly occurs after Nissen fundoplication in patients with gastroesophageal reflux disease. Since the understanding of its pathogenesis is insufficient, an effective method of management has not yet been suggested. The authors report a case of a 16-year-old girl with DGE after laparoscopic Nissen fundoplication and treated with intravenous injection of low dose erythromycin.
  • 1. Estevao-Costa J, Fragoso AC, Prata MJ, Campos M, Trindade E, Dias JA, et al. Gastric emptying and antireflux surgery. Pediatr Surg Int. 2011. 27:367-371.
  • 2. Khajanchee YS, Dunst CM, Swanstrom LL. Outcomes of Nissen fundoplication in patients with gastroesophageal reflux disease and delayed gastric emptying. Arch Surg. 2009. 144:823-828.
  • 3. Berthet S, Charpiat B, Mabrut JY. Erythromycin as a prokinetic agent: risk factors. J Visc Surg. 2010. 147:e13-e18.
  • 4. Maxson RT, Harp S, Jackson RJ, Smith SD, Wagner CW. Delayed gastric emptying in neurologically impaired children with gastroesophageal reflux: the role of pyloroplasty. J Pediatr Surg. 1994. 29:726-729.
  • 5. Papaila JG, Wilmot D, Grosfeld JL, Rescorla FJ, West KW, Vane DW. Increased incidence of delayed gastric emptying in children with gastroesophageal reflux. A prospective evaluation. Arch Surg. 1989. 124:933-936.
  • 6. Kozarek RA, Low DE, Raltz SL. Complications associated with laparoscopic anti-reflux surgery: one multispecialty clinic's experience. Gastrointest Endosc. 1997. 46:527-531.
  • 7. Rostas JW 3rd, Mai TT, Richards WO. Gastric motility physiology and surgical intervention. Surg Clin North Am. 2011. 91:983-999.
  • 8. Itoh Z, Nakaya M, Suzuki T, Arai H, Wakabayashi K. Erythromycin mimics exogenous motilin in gastrointestinal contractile activity in the dog. Am J Physiol. 1984. 247:G688-G694.
  • 9. Ritz MA, Chapman MJ, Fraser RJ, Finnis ME, Butler RN, Cmielewski P, et al. Erythromycin dose of 70 mg accelerates gastric emptying as effectively as 200 mg in the critically ill. Intensive Care Med. 2005. 31:949-954.
  • 10. Karamanolis G, Tack J. Promotility medications--now and in the future. Dig Dis. 2006. 24:297-307.
  • 11. Dicken BJ, Sergi C, Rescorla FJ, Breckler F, Sigalet D. Medical management of motility disorders in patients with intestinal failure: a focus on necrotizing enterocolitis, gastroschisis, and intestinal atresia. J Pediatr Surg. 2011. 46:1618-1630.
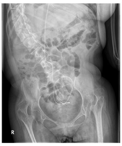
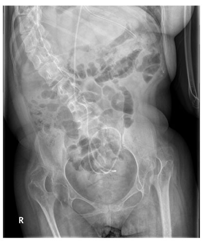
Fig. 1
Simple abdominal X-ray film shows severe kyphosis and ventriculo-peritoneal shunt catheter in the abdomen. Normal intestinal gas pattern is seen.
jkaps-18-30-g001.jpg
Fig. 2
Upper GI series at 14th day of surgery shows poor peristaltic activity of the stomach and delayed passage of barium through the pylorus. B. Upper GI series at 26th day of surgery reveals propulsive peristaltic activity of the antrum with prompt passage of barium through the pylorus to the duodenum immediately on injection of erythromycin.
jkaps-18-30-g002.jpg

Download Citation

Download a citation file in RIS format that can be imported by all major citation management software, including EndNote, ProCite, RefWorks, and Reference Manager.

Format:

Include:

Effective Management of Gastropares is with Erythromyc in after Laparoscopic Nissen Fundoplication -A case report-
J Korean Assoc Pediatr Surg. 2012;18(1):30-34.   Published online June 30, 2012
Download Citation

Download a citation file in RIS format that can be imported by all major citation management software, including EndNote, ProCite, RefWorks, and Reference Manager.

Format:
Include:
Effective Management of Gastropares is with Erythromyc in after Laparoscopic Nissen Fundoplication -A case report-
J Korean Assoc Pediatr Surg. 2012;18(1):30-34.   Published online June 30, 2012
Close

Figure

  • 0
  • 1
Effective Management of Gastropares is with Erythromyc in after Laparoscopic Nissen Fundoplication -A case report-
Image Image
Fig. 1 Simple abdominal X-ray film shows severe kyphosis and ventriculo-peritoneal shunt catheter in the abdomen. Normal intestinal gas pattern is seen.
Fig. 2 Upper GI series at 14th day of surgery shows poor peristaltic activity of the stomach and delayed passage of barium through the pylorus. B. Upper GI series at 26th day of surgery reveals propulsive peristaltic activity of the antrum with prompt passage of barium through the pylorus to the duodenum immediately on injection of erythromycin.
Effective Management of Gastropares is with Erythromyc in after Laparoscopic Nissen Fundoplication -A case report-