Skip to main navigation Skip to main content
  • KAPS
  • E-Submission

APS : Advances in Pediatric Surgery

OPEN ACCESS
ABOUT
BROWSE ARTICLES
EDITORIAL POLICY
FOR CONTRIBUTORS
Case Report

Prenatally Diagnosed Gastric Duplication -Case report-

Ki-Kwan Kang, M.D., Jeong Hong, M.D.
Journal of the Korean Association of Pediatric Surgeons 2012;18(1):35-40.
Published online: June 30, 2012

Pediatric Surgery, Department of Surgery, Ajou University of School of Medicine, Suwon, Korea.

Correspondence: Jeong Hong, M.D., PhD., Ajou University School of Medicine, San 5, Woncheon-Dong, Yongtong-Gu, Suwon, Gyeonggi-do 443-749, Korea. Tel: 031)219-5203, Fax: 031)219-5755, hongji@ajou.ac.kr
• Received: August 16, 2012   • Accepted: October 12, 2012

Copyright © 2012 Korean Association of Pediatric Surgeons

  • 85 Views
  • 0 Download
prev
  • Gastric duplication is a rare anomaly which account for only 3.8% of all gastrointestinal duplication. Gastric duplications are usually cysticlesion without communication with lumen. Most frequent presentation is an abdominal mass with vomiting, mainly diagnosed within the first year of life. Surgical removal is necessary in all cases, and optimal timing for surgery is the time that diagnosis is made. However, prenatally diagnosed gastric duplication is getting more common, and determining timing for surgery is not easy due to absent or minimal symptoms just after birth. We experienced prenatally diagnosed gastric duplication in a female newborn baby that gastric duplication was suggested in 24th week of gestational age through prenatal ultrasonogram. Surgical removal was done at 3 months after birth, and showed good results. We think that natural history of gastric duplication and prevalent age of surgical disease which is similar to gastric duplication such infantile hypertrophic pyloric stenosis should be considered when timing of surgery on prenatally gastric duplication is decided.
  • 1. Correia-Pinto J, Tavares ML, Moura N, Guimaraes H. Prenatal diagnosis of abdominal enteric duplications. Prenat Diagn. 2000. 20:163-167.
  • 2. Chen CP, Liu UP, Hsu C, Lin SP, Wang W. Prenatal sonography and magnetic reasonance imaging of pulmonary sequestration associated with a gastric duplications cyst. Prenat Diagn. 2006. 26:489-491.
  • 3. Jung EY, Jeon SY, Park HY, Jung E. Prenatal detection of fetal gastric duplication cyst: A case report. Korean J Obstet Gynecol. 2010. 53:1014-1018.
  • 4. Agha FP, Gabriele OF, Abdulla FJ. Complete gastric duplication. AJR Am J Roentgenol. 1981. 137:406-407.
  • 5. Pruksapong C, Donovan RJ, Pinit A, Heldrich FJ. Gastric duplication. J Pediatr Surg. 1979. 14:83-85.
  • 6. Bartels RJ. Duplications of the stomach. Case report and review of the literature. Am Surg. 1967. 33:747-752.
  • 7. Shin GJ, et al. A Case of Duplication of Gastric Fundus Associated with Mal - rotation of the Gut and Anemia. Korean J Intern Med. 1983. 26:312-317.
  • 8. Torma MJ. Of double stomachs. Arch Surg. 1974. 109:555-557.
  • 9. Kremer RM, Lepoff RB, Izant RJ Jr. Duplication of the stomach. J Pediatr Surg. 1970. 5:360-364.
  • 10. Alschibaja T, Putnam TC, Yablin BA. Duplication of the stomach simulating hypertrophic pyloric stenosis. Am J Dis Child. 1974. 127:120-122.
  • 11. Kammerer GT. Duplication of the stomach resembling hypertrophic pyloric stenosis. JAMA. 1969. 207:2101-2102.
  • 12. Grosfeld JL, Boles ET Jr, Reiner C. Duplication of pylorus in the newborn: a rare cause of gastric outlet obstruction. J Pediatr Surg. 1970. 5:365-369.
  • 13. Gore RM, Levind MS, Laufer I. Textbook of gastrointestinal radiology. 1995. 1st ed. Philadelphia: WB Saunders; 655-656.
  • 14. Adair HM, Trowell JE. Squamous cell carcinoma arising in a duplication of the small bowel. J Pathol. 1981. 133:25-31.
  • 15. Ribaux C, Meyer P. Adenocarcinoma in an ileal duplication. Ann Pathol. 1995. 15:443-445.
  • 16. Laje P, Flake AW, Adzick NS. Prenatal diagnosis and postnatal resection of intraabdominal enteric duplications. J Pediatr Surg. 2010. 45:1554-1558.
  • 17. Anas P, Miller RC. Pyloric Duplication Masquerading as Hypertrophic Pyloric Stenosis. J Pediatr Surg. 1971. 6:664.
  • 18. Hong SJ, Kim KS, Ham HW, Park JH. Gastric Duplication in the Newborn. J Korean Pediatr Soc. 1996. 39:1631-1635.
  • 19. Cho SJ, Lee KH, Ju MJ, Lee OK. Duplication Cyst of the Pylorus in a Newborn. J Korean Pediatr Soc. 2001. 44:1052-1056.
  • 20. Jung E, Choi SO, Park WH. Hypertrophic Pyloric Stenosis Occurring in Fasting State with Gastrostomy After Surgery for Esophageal Atresia with Tracheoesophageal Fistula. J Korean Assoc Pediatr Surg. 2011. 17:88-92.
  • 21. Foley PT, Sithasanan N, McEwing R, Lipsett J, Ford WD, Furness M. Enteric duplications presenting as antenatally detected cysts: is delayed resection appropriate? J Pediatr Surg. 2003. 38:1810-1813.
  • 22. Azzie G, Beasley S. Diagnosis and treatment of foregut duplications. Semin Pediatr Surg. 2003. 12:46-54.
  • 23. Holcomb GW III, Gheissari A, O'Neil JA. Surgical management of alimentary tract duplications. Ann Surg. 1989. 209:167-174.
  • 24. Stringer MD, Spitz L, Abel R, et al. Management of alimentary tract duplication in children. Br J Surg. 1995. 82:74-78.
  • 25. Ford WD, Guelfand M, Lopez PJ, Furness ME. Laparoscopic excision of gastric duplication cyst detected on antenatal ultrasound scan. J Pediatr Surg. 2004. 39:e8-e10.
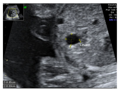
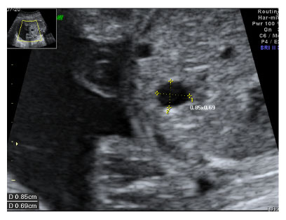
Fig. 1
Prenatal ultrasonogram showing cystic lesion (0.9 × 0.7 cm) in the stomach.
jkaps-18-35-g001.jpg
Fig. 2
Postnatal ultrasonogram at 4 weeks after birth showing hypoechoic mass (1.4 × 0.9 cm) with thickened wall at the stomach
jkaps-18-35-g002.jpg
Fig. 3
Operative finding of gastric duplication which was located at the greater curvature, distal part of the stomach, measuring about 1 cm in diameter.
jkaps-18-35-g003.jpg

Download Citation

Download a citation file in RIS format that can be imported by all major citation management software, including EndNote, ProCite, RefWorks, and Reference Manager.

Format:

Include:

Prenatally Diagnosed Gastric Duplication -Case report-
J Korean Assoc Pediatr Surg. 2012;18(1):35-40.   Published online June 30, 2012
Download Citation

Download a citation file in RIS format that can be imported by all major citation management software, including EndNote, ProCite, RefWorks, and Reference Manager.

Format:
Include:
Prenatally Diagnosed Gastric Duplication -Case report-
J Korean Assoc Pediatr Surg. 2012;18(1):35-40.   Published online June 30, 2012
Close

Figure

  • 0
  • 1
  • 2
Prenatally Diagnosed Gastric Duplication -Case report-
Image Image Image
Fig. 1 Prenatal ultrasonogram showing cystic lesion (0.9 × 0.7 cm) in the stomach.
Fig. 2 Postnatal ultrasonogram at 4 weeks after birth showing hypoechoic mass (1.4 × 0.9 cm) with thickened wall at the stomach
Fig. 3 Operative finding of gastric duplication which was located at the greater curvature, distal part of the stomach, measuring about 1 cm in diameter.
Prenatally Diagnosed Gastric Duplication -Case report-