Skip to main navigation Skip to main content
  • KAPS
  • E-Submission

APS : Advances in Pediatric Surgery

OPEN ACCESS
ABOUT
BROWSE ARTICLES
EDITORIAL POLICY
FOR CONTRIBUTORS

Articles

Case Report

A Case of Hemolytic Uremic Syndrome after Appendectomy

Advances in Pediatric Surgery 2019;25(1):29-34.
Published online: July 3, 2019

Department of Pediatrics, Kangbuk Samsung Hospital, Sungkyunkwan University School of Medicine, Seoul, Korea.

Correspondence to Jihee Kwak. Department of Pediatrics, Kangbuk Samsung Hospital, Sungkyunkwan University School of Medicine, 29 Saemunan-ro, Jongno-gu, Seoul 03181, Korea. jiheehihi.kwak@samsung.com
• Received: January 28, 2019   • Revised: March 14, 2019   • Accepted: May 8, 2019

Copyright © 2019 Korean Association of Pediatric Surgeons

This is an Open Access article distributed under the terms of the Creative Commons Attribution Non-Commercial License (https://creativecommons.org/licenses/by-nc/4.0) which permits unrestricted non-commercial use, distribution, and reproduction in any medium, provided the original work is properly cited.

  • 367 Views
  • 0 Download
prev
  • Hemolytic uremic syndrome (HUS) is associated with consumption of under cooked gound beef, characterized by triad of renal failure, microangiopathic hemolytic anemia and thrombocytopenia. Early recognition of this disease, maintenance of fluid balance and proper dialysis seems to prevent acute mortality. A 23-month-old boy was admitted with abdominal pain, bloody diarrhea and fever. On hospital day (HD) #2, he developed aggravated abdominal pain compared to the initial assessment. Contrast abdominal computed tomography demonstrated findings suggestive acute appendicitis so the patient was underwent laparoscopic appendectomy. On HD #3 and #4, his laboratory findings showed marked thrombocytopenia and serum creatinine elevation. He was transferred to another hospital for dialysis with the impression of acute renal failure. Later, verotoxin-producing Escherichia coli, which is one of the most common causes of HUS, was detected on his initial stool examination. HUS can present with prodromal gastrointestinal symptoms mimicking acute abdomen. So even if the patient is primarily diagnosed acute abdomen in the initial setting, clinicians should always keep in mind of other fatal conditions disease, such as HUS. To our knowledge, this is the first case report of acute appendicitis followed by HUS in South Korea.
Hemolytic uremic syndrome (HUS), also known as “hamburger disease”, is a clinical syndrome characterized by microangiopathic hemolytic anemia and thrombocytopenia. HUS is the most common cause of acute kidney injury in children younger than three years old [1]. Bacterial toxin, especially shigatoxin-producing Escherichia coli (STEC), also called as verotoxin-producing Escherichia coli (VTEC), is well known infectious etiology of HUS. E. coli serotype O157:H7 is the most common serotype, but various E. coli strains other than O157:H7 were reported [2].
HUS is generally a self-limiting disease with spontaneous recovery; however, 26% of patients develop renal failure, and mortality occurs in about 3%–5% [34]. The onset of HUS is usually preceded by gastroenteritis, characterized by fever, vomiting, abdominal pain, and diarrhea that is initially watery but then becomes bloody.
These symptoms, especially in infants or young children, may mimic appendicitis or other acute abdomen.
Although appendicitis is included in the differential diagnosis of HUS, HUS may present with appendicitis. There have been a limited number of reports in the literature worldwide on the presence of HUS after perforated appendicitis, or, its subsequent progression acute appendicitis [567]. However, this is the first case report in Korea of “Early appendicitis” that subsequently progressed to HUS.
Herein, we report a case of HUS preceded by appendicitis in a 23-month-old boy.
A previously healthy 23-month-old boy was admitted to the general ward with abdominal pain and bloody diarrhea of 3 days duration. The diarrhea began as loose stool, 2–3 times a day, but worsened to bloody, mucoid watery diarrhea, and became more frequent, with hourly discharges. Abdominal physical examination revealed no palpable masses, hyperactive bowel sound, and tenderness on both lower iliac fossa with mild muscle guarding.
Abdominal radiography showed gaseous distension of the colon (Fig. 1). Laboratory findings included leukocytosis (22.64 k/mm3) with an upper left shift (segment 82.9%), mild anemia (12.5 g/dL), thrombocytosis (456 k/mm3) and decreased serum glucose (65 mg/dL) and sodium (134 mg/dL) levels. Plasma urea and creatinine concentrations, and those of other electrolytes were within normal limits, and C-reactive protein (CRP) was also nearly normal (0.66 mg/dL).
Fig. 1

Simple abdomen radiograph (flat) at the admission.

aps-25-29-g001.jpg
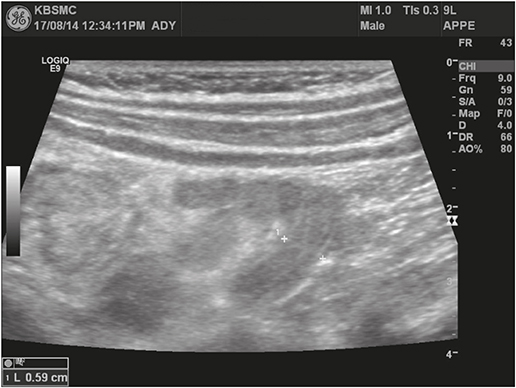
The patient was subjected to bowel sonography to exclude intussusception; with results showing no evidence of intussusception but edematous bowel wall thickening, which suggested enteritis, and a 6 mm dilatation of the appendix with wall thickening, which was suspicious of early appendicitis (Fig. 2). Intravenous antibiotics were initiated upon the suspicion of bacterial enteritis and symptomatic medication was administered for watery diarrhea and abdominal pain.
Fig. 2

Wall thickening with 6 mm of dilatation of appendix was observed on bowel sonography.

aps-25-29-g002.jpg
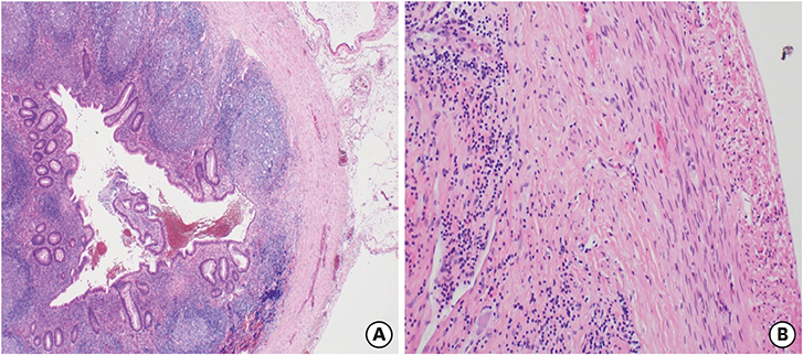
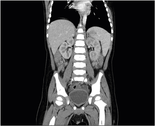
However, on hospital day (HD) #2, the patient exhibited more severe abdominal pain than that on the initial assessment. Physical examination revealed focal tenderness in the both lower quadrants with localized guarding and no evident rebound tenderness. Contrast abdominal computed tomography (CT) demonstrated a dilated, fluid filled tubular structure in the lower right quadrant indicative of appendicitis (Fig. 3). On the basis of these findings, the patient was transferred to the department of general surgery and undertaken laparoscopic appendectomy. The laparoscopic findings included wall thickening in the cecum and mild inflammation in the appendix. Pathologic examination of the resected segment revealed telangiectasia of the serosa, and the lumen contained suppurative exudate with acute inflammation, but no thrombotic microangiopathy was observed (Fig. 4).
Fig. 3

Enhancing wall thickening and fluid filled dilatation of appendix on abdominal-pelvis computed tomography.

aps-25-29-g003.jpg
Fig. 4

Histologic examination shows telangiectasia of the serosa and the lumen contains suppurative exudate. (A) H&E, ×40; (B) H&E, ×400.

H&E, hematoxylin and eosin.
aps-25-29-g004.jpg
On HD #3 and #4, the fever did not subside and abdominal pain persisted. Hemoglobin decreased from 12.5 to 8.0 g/dL and platelet decreased from 456 to 29 k/mm3. Serum electrolytes also showed an imbalance, with sodium 134 mmol/L and potassium 5.1 mmol/L. Urea had increased to 46.1 mg/dL and creatinine also increased to 2.7 mg/dL. Peripheral blood morphology revealed the presence of schistocytes, a diagnostic indication of HUS.
The patient was transferred to the Seoul National University Children's Hospital due to rapid aggravation of creatinine level and the possibility of requirement of dialysis due to acute renal failure. On HD #5, stool polymerase chain reaction, taken the first day of admission at our hospital, was positive for VTEC which is one of the common causes of HUS.
At that hospital, his laboratory findings were worsened to creatinine 3.98 mg/dL, hemoglobin 6.3 g/dL, and platelet 19,000/mm3. Other laboratory findings including CRP had no significant change. After 5 days of daily hemodialysis and supportive management, his urine output, fever, bloody diarrhea, and abdominal pain were recovered. Also, the laboratory findings were much improved to creatinine 0.69 mg/dL, hemoglobin 10 g/dL, platelet 396,000/mm3 at the time of discharge (Fig. 5). After discharge, he takes medication for hypertension but has no another complication so far.
Fig. 5

Laboratory findings during HD #1 to #18. He undertaken appendectomy on HD #2, and transferred to another hospital for hemodialysis on HD #4. After daily hemodialysis for 5 days, his urine output, fever, and abdominal pain were improved. The abnormal laboratory findings were recovered until discharge on HD #18.

HD, hospital day; Hb, hemoglobin; PLT, platelet; Cr, creatinine; AST, aspartate transaminase; ALT, alanine aminotransferase.
aps-25-29-g005.jpg
In 1994, a massive outbreak of E. coli serotype O157:H7 infection was reported in the western United States of America. The patients had a history of consuming ground beef at a fast-food restaurant chain. Subsequently, STEC raised public and medical awareness, and HUS began to be referred to as “hamburger disease” [8]. In Korea, ground beef is used widely in a variety of foods other than hamburger.
Thus, when clinicians inquire about a patient's history of gastrointestinal symptoms, culture-based examinations can be helpful. In our case, the boy reported having eaten “Donggeurangttang”, the Korean meat ball, made with ground beef 1 week before the onset of the primary symptom. The beef has been stored in freezer for several months.
Also, when evaluating a child with acute abdominal pain, careful history taking and repeated physical examinations are important [9]. Our patient's symptoms and physical examinations, as well as the imaging studies corresponded to acute appendicitis. Of note, the patient was set to be discharged after checking the routine laboratory studies on HD #4.
Thus, despite a primary diagnosis of acute abdomen from the initial imaging tests and physical examinations, clinicians should always be aware of a potentially fatal disease, such as HUS and careful serial checkup of the patient's vital signs, and urine output and laboratory examinations should be performed.
HUS is the most common cause of acute renal failure in previously healthy infants and young children and is a significant cause of acute mortality and morbidity in these patients [10]. Early recognition of HUS, meticulous maintenance of fluid balance, and proper dialysis prevent acute mortality.
To our knowledge, the case presented herein is the first case report of acute appendicitis followed by HUS in South Korea.

No potential conflict of interest relevant to this article was reported.

  • Conceptualization: K.L., K.J.H.

  • Data curation: K.L.

  • Supervision: J.H.L., S.J.Y., S.J.W., K.D.S., H.Y.J., K.J.H.

  • Writing - original draft: K.L.

  • Writing - review & editing: K.J.

  • 1. Boyer O, Niaudet P. Hemolytic uremic syndrome: new developments in pathogenesis and treatment. Int J Nephrol 2011;2011:908407.
  • 2. Gerber A, Karch H, Allerberger F, Verweyen HM, Zimmerhackl LB. Clinical course and the role of shiga toxin-producing Escherichia coli infection in the hemolytic-uremic syndrome in pediatric patients, 1997–2000, in Germany and Austria: a prospective study. J Infect Dis 2002;186:493-500.
  • 3. Verweyen HM, Karch H, Brandis M, Zimmerhackl LB. Enterohemorrhagic Escherichia coli infections: following transmission routes. Pediatr Nephrol 2000;14:73-83.
  • 4. Siegler RL. Hemolytic uremic syndrome in children. Curr Opin Pediatr 1995;7:159-163.
  • 5. Cimolai N, Anderson JD, Bhanji NM, Chen L, Blair GK. Escherichia coli O157:H7 infections associated with perforated appendicitis and chronic diarrhoea. Eur J Pediatr 1990;149:259-260.
  • 6. Fenton SJ, Kastenmeier A, Pysher TJ, Nichol PF. Acute appendicitis in a patient with hemolytic uremic syndrome: an unusual clinical scenario. Pediatr Surg Int 2008;24:439-441.
  • 7. Volinsky JB, Karrer FM, Todd JK. Hemolytic-uremic syndrome caused by Escherichia coli O157:H7 after perforated appendix. Pediatr Infect Dis J 1998;17:846-847.
  • 8. Bell BP, Goldoft M, Griffin PM, Davis MA, Gordon DC, Tarr PI, et al. A multistate outbreak of Escherichia coli O157:H7-associated bloody diarrhea and hemolytic uremic syndrome from hamburgers. The Washington experience. JAMA 1994;272:1349-1353.
  • 9. Ross A, LeLeiko NS. Acute abdominal pain. Pediatr Rev 2010;31:135-144.
  • 10. Razzaq S. Hemolytic uremic syndrome: an emerging health risk. Am Fam Physician 2006;74:991-996.

Download Citation

Download a citation file in RIS format that can be imported by all major citation management software, including EndNote, ProCite, RefWorks, and Reference Manager.

Format:

Include:

A Case of Hemolytic Uremic Syndrome after Appendectomy
Adv Pediatr Surg. 2019;25(1):29-34.   Published online July 3, 2019
Download Citation

Download a citation file in RIS format that can be imported by all major citation management software, including EndNote, ProCite, RefWorks, and Reference Manager.

Format:
Include:
A Case of Hemolytic Uremic Syndrome after Appendectomy
Adv Pediatr Surg. 2019;25(1):29-34.   Published online July 3, 2019
Close

Figure

  • 0
  • 1
  • 2
  • 3
  • 4
A Case of Hemolytic Uremic Syndrome after Appendectomy
Image Image Image Image Image
Fig. 1 Simple abdomen radiograph (flat) at the admission.
Fig. 2 Wall thickening with 6 mm of dilatation of appendix was observed on bowel sonography.
Fig. 3 Enhancing wall thickening and fluid filled dilatation of appendix on abdominal-pelvis computed tomography.
Fig. 4 Histologic examination shows telangiectasia of the serosa and the lumen contains suppurative exudate. (A) H&E, ×40; (B) H&E, ×400. H&E, hematoxylin and eosin.
Fig. 5 Laboratory findings during HD #1 to #18. He undertaken appendectomy on HD #2, and transferred to another hospital for hemodialysis on HD #4. After daily hemodialysis for 5 days, his urine output, fever, and abdominal pain were improved. The abnormal laboratory findings were recovered until discharge on HD #18. HD, hospital day; Hb, hemoglobin; PLT, platelet; Cr, creatinine; AST, aspartate transaminase; ALT, alanine aminotransferase.
A Case of Hemolytic Uremic Syndrome after Appendectomy