Skip to main navigation Skip to main content
  • KAPS
  • E-Submission

APS : Advances in Pediatric Surgery

OPEN ACCESS
ABOUT
BROWSE ARTICLES
EDITORIAL POLICY
FOR CONTRIBUTORS

Articles

Original Article

Diagnostic Considerations of Late Presenting Congenital Diaphragmatic Hernia in Children: Single Center Experience

Shin, Hyun Beak , Jeong, Yeon-Jun
Adv Pediatr Surg 2020;26(1):11-14.
1Department of Surgery, Jeonbuk National University Medical School, Jeonju, Korea
2Research Institute of Clinical Medicine of Jeonbuk National University and Biomedical Research Institute of Jeonbuk National University Hospital, Jeonju, Korea
  • 502 Views
  • 1 Download
  • 2 Crossref
  • 0 Scopus
prev next

Purpose
Late presenting congenital diaphragmatic hernia (CDH) in children has various clinical manifestations and serious pitfalls in diagnosis, which make differentiation very difficult. Thus, we intended to identify the clinical manifestations and to build the proper strategy of diagnostic imaging for late presenting CDH on the base of our institutional experience.
Methods
We performed a retrospective review of medical records for 6 patients who received the operation for late presenting CDH from December 2003 to March 2018 in our hospital.
Results
The range of age was 55 days to 13 years and the ratio of sex (male:female) was 2:1. The most common symptom was vomiting, followed by abdominal pain, chest discomfort, dyspnea, and cyanosis. As an initial diagnostic imaging study, chest X-ray was performed in all patients, of whom one patient checked it after the insertion of a gavage tube. As a secondary additional imaging study, chest computed tomography (CT) was performed in 4 patients, abdominal ultrasonography was performed in 2 patients, and chest magnetic resonance imaging, abdominopelvic CT, renal scan were each carried out for 1 patient.
Conclusion
If late presenting CDH is suspected in initial chest X-ray of patient who has gastrointestinal or respiratory symptoms, chest X-ray after insertion of a nasogastric tube or additional imaging study such as chest CT should be checked.


Adv Pediatr Surg. 2020 Jun;26(1):11-14. English.
Published online Jun 10, 2020.
Copyright © 2020 Korean Association of Pediatric Surgeons
Original Article

Diagnostic Considerations of Late Presenting Congenital Diaphragmatic Hernia in Children: Single Center Experience

Hyun Beak Shin,1,2 and Yeon-Jun Jeong1,2
    • 1Department of Surgery, Jeonbuk National University Medical School, Jeonju, Korea.
    • 2Research Institute of Clinical Medicine of Jeonbuk National University and Biomedical Research Institute of Jeonbuk National University Hospital, Jeonju, Korea.
Received April 02, 2020; Revised May 17, 2020; Accepted June 01, 2020.

This is an Open Access article distributed under the terms of the Creative Commons Attribution Non-Commercial License (https://creativecommons.org/licenses/by-nc/4.0) which permits unrestricted non-commercial use, distribution, and reproduction in any medium, provided the original work is properly cited.

Abstract

Purpose

Late presenting congenital diaphragmatic hernia (CDH) in children has various clinical manifestations and serious pitfalls in diagnosis, which make differentiation very difficult. Thus, we intended to identify the clinical manifestations and to build the proper strategy of diagnostic imaging for late presenting CDH on the base of our institutional experience.

Methods

We performed a retrospective review of medical records for 6 patients who received the operation for late presenting CDH from December 2003 to March 2018 in our hospital.

Results

The range of age was 55 days to 13 years and the ratio of sex (male:female) was 2:1. The most common symptom was vomiting, followed by abdominal pain, chest discomfort, dyspnea, and cyanosis. As an initial diagnostic imaging study, chest X-ray was performed in all patients, of whom one patient checked it after the insertion of a gavage tube. As a secondary additional imaging study, chest computed tomography (CT) was performed in 4 patients, abdominal ultrasonography was performed in 2 patients, and chest magnetic resonance imaging, abdominopelvic CT, renal scan were each carried out for 1 patient.

Conclusion

If late presenting CDH is suspected in initial chest X-ray of patient who has gastrointestinal or respiratory symptoms, chest X-ray after insertion of a nasogastric tube or additional imaging study such as chest CT should be checked.

Keywords
Congenital diaphragmatic hernias; Child; Diagnosis; X-ray; Computed tomography

INTRODUCTION

Late presenting congenital diaphragmatic hernia (CDH) is defined as a nontraumatic diaphragmatic hernia which was diagnosed after infancy. Its rare incidence, variety of clinical manifestations, and pitfalls in initial chest X-ray make the differential diagnosis very difficult [1, 2, 3, 4]. In this study, we intended to identify the clinical manifestations and to build the proper strategy of diagnostic imaging for late presenting CDH on the base of our institutional experience.

METHODS

From December 2003 to March 2018, six children received the operation for late presenting CDH in our hospital. We investigated the patients' clinical information relating to age at diagnosis, sex, chief complaint during the first visit, diagnostic imaging study, and operative findings through a retrospective review of medical records. Hiatal hernia was excluded. This study was approved and the requirement for informed consent from individual was waived by the Institutional Review Board of Jeonbuk National University Hospital (IRB No.: 2020-03-052).

RESULTS

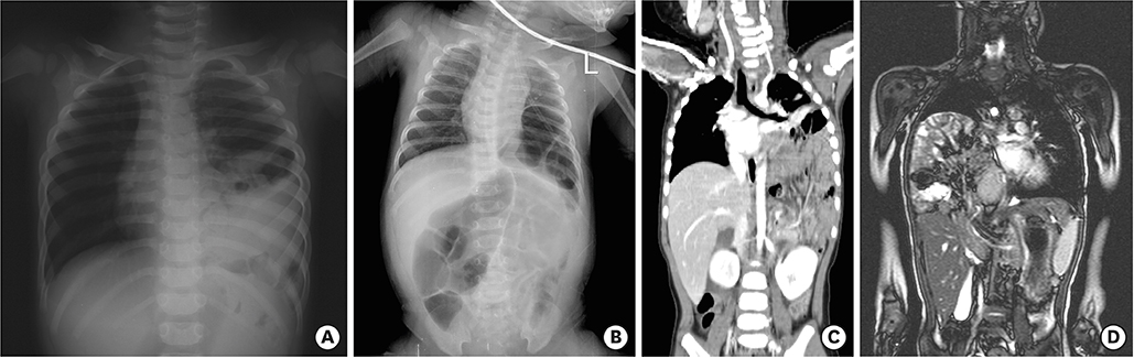
As shown in Table 1, the range of patients’ age at diagnosis was scattered insignificantly from 55 days to 13 years. The ratio of sex (male:female) was 2:1. The clinical manifestations of the patients were not typical nor single but mixed or various. The most common symptom was vomiting, followed by abdominal pain, chest discomfort, dyspnea, and cyanosis. As an initial diagnostic imaging study, chest X-ray was performed routinely in all patients, of whom one patient checked it after the insertion of a gavage tube fortunately. As a secondary additional imaging study, chest computed tomography (CT) was performed in four patients, abdominal ultrasonography was performed in 2 patients, and chest magnetic resonance imaging (MRI), abdominopelvic CT, renal scan were each carried out for one patient. Fig. 1 shows initial chest X-ray and convincing secondary additional imaging studies for these patients. In operative findings, the location of the diaphragmatic defect was the left posterolateral side in 5 patients and the right posterior side in 1 patient. The small bowel and colon were herniated into the thoracic cavity through the diaphragmatic defect in all of the patients. Spleen herniation was identified in 3 patients. Stomach and kidney herniation were each identified in 2 patients. Malrotation of the cecum and Meckel's diverticulum were discovered incidentally during operation. Most of the operations were performed promptly after confirmation of diaphragmatic hernia; however, 1 patient with right posterior side CDH received preoperative care for acute bronchiolitis for 9 days. The postoperative outcomes were excellent without significant complications.

Table 1
Clinical manifestations, diagnostic tools, and operative findings of late presenting congenital diaphragmatic hernia in children (n=6)

Fig. 1
Initial chest X-rays and convincing secondary additional imaging studies of late presenting CDH in children. (A) Initial chest X-ray of the left side CDH which was vague. (B) Chest X-ray after a gavage tube insertion in the left side CDH. (C) Chest CT showing the left side CDH. (D) Chest MRI showing the right side CDH.
CDH, congenital diaphragmatic hernia; CT, computed tomography; MRI, magnetic resonance imaging.

DISCUSSION

Late presenting CDH is difficult to differentiate with initial chest X-ray and misdiagnosis is not uncommon, which can result in various iatrogenic complications [1]. Also, delayed diagnosis can result in serious complications such as herniated bowel necrosis, peritonitis, respiratory arrest, and death [3, 5, 6]. Thus, early diagnosis and prompt surgical treatment is very important.

The clinical manifestations of patients were not typical but various. In other words, the initial symptoms of late presenting CDH could be respiratory or gastrointestinal or mixed, or patients could be asymptomatic [7]. This study reconfirmed this as shown in the results.

Rarely late presenting CDH can be combined with lung hypoplasia and malrotation, which may influence clinical manifestations and herniated viscera through diaphragmatic defect [8]. In this study, there was no lung hypoplasia nor typical malrotation in combined anomaly, so herniated viscera also contained the organs adjacent to hernial defect. Thus, we could not identify the correlation between clinical manifestations and combined anomaly.

There have been a few reports about the clinical manifestations in late presenting CDH noting that younger patients have more respiratory symptoms, and left side CDH patients have more gastrointestinal symptoms [7, 9]. Although the number of patients in this study was too small to obtain statistical significance, most of the left side cases (4 out of 5) presented gastrointestinal symptoms, and the youngest patient, who was 55 days old, showed respiratory symptoms only.

As a diagnostic imaging strategy in this study, initial chest X-ray and secondary additional imaging studies were performed for all of the patients. As a secondary additional imaging study, CT was performed in most of the patients (5 out of 6). Chest X-ray supplemented by cross-sectional imaging like chest CT can be very helpful in the differential diagnosis of intrathoracic lesions and provide better understanding of diaphragmatic pathology [10, 11]. The radiation hazard caused by diagnostic CT scans could be reasonably accepted as compared with the risk of serious complications of late presenting CDH [12].

The clinical manifestations of late presenting CDH have a wide spectrum, and were various and mixed between gastrointestinal symptoms and respiratory symptoms. The initial chest X-ray should be checked carefully, especially if a patient has the mixed symptoms. If necessary, the chest X-ray should be rechecked after a nasogastric tube insertion. Moreover, judging from the results of this study—that over half of the initial chest X-ray were vague, and secondary additional imaging studies like CT or MRI were performed to obtain conviction for CDH in all cases—if late presenting CDH is suspected at all, there should be no hesitation in ordering additional image studies like chest CT.

Notes

Funding:This paper was supported by Fund of Biomedical Research Institute, Jeonbuk National University Hospital.

Conflict of Interest:No potential conflict of interest relevant to this article was reported.

Author Contributions:

  • Conceptualization: S.H.B, J.Y.J.

  • Data curation: S.H.B.

  • Funding acquisition: S.H.B., J.Y.J.

  • Supervision: J.Y.J.

  • Writing - original draft: S.H.B.

  • Writing - review & editing: J.Y.J.

References

    1. Baerg J, Kanthimathinathan V, Gollin G. Late-presenting congenital diaphragmatic hernia: diagnostic pitfalls and outcome. Hernia 2012;16:461–466.
    1. Bagłaj M, Dorobisz U. Late-presenting congenital diaphragmatic hernia in children: a literature review. Pediatr Radiol 2005;35:478–488.
    1. Kim DJ, Chung JH. Late-presenting congenital diaphragmatic hernia in children: the experience of single institution in Korea. Yonsei Med J 2013;54:1143–1148.
    1. Sridhar AV, Nichani S. Late presenting congenital diaphragmatic hernia. Emerg Med J 2004;21:261–262.
    1. Nayak HK, Maurya G, Kapoor N, Kar P. Delayed presentation of congenital diaphragmatic hernia presenting with intrathoracic gastric volvulus: a case report and review. BMJ Case Rep 2012;2012:bcr2012007332
    1. Vandy FC, Landrum JE, Gerig NR, Prahlow JA. Death due to late-presenting congenital diaphragmatic hernia in a 2-year-old child. Am J Forensic Med Pathol 2008;29:75–79.
    1. Kitano Y, Lally KP, Lally PA. Congenital Diaphragmatic Hernia Study Group. Late-presenting congenital diaphragmatic hernia. J Pediatr Surg 2005;40:1839–1843.
    1. Hosgor M, Karaca I, Karkiner A, Ucan B, Temir G, Erdag G, et al. Associated malformations in delayed presentation of congenital diaphragmatic hernia. J Pediatr Surg 2004;39:1073–1076.
    1. Numanoglu A, Steiner Z, Millar A, Cywes S. Delayed presentation of congenital diaphragmatic hernia. S Afr J Surg 1997;35:74–76.
    1. Chavhan GB, Babyn PS, Cohen RA, Langer JC. Multimodality imaging of the pediatric diaphragm: anatomy and pathologic conditions. Radiographics 2010;30:1797–1817.
    1. Taylor GA, Atalabi OM, Estroff JA. Imaging of congenital diaphragmatic hernias. Pediatr Radiol 2009;39:1–16.
    1. Brody AS, Frush DP, Huda W, Brent RL. American Academy of Pediatrics Section on Radiology. Radiation risk to children from computed tomography. Pediatrics 2007;120:677–682.

Download Citation

Download a citation file in RIS format that can be imported by all major citation management software, including EndNote, ProCite, RefWorks, and Reference Manager.

Format:

Include:

Diagnostic Considerations of Late Presenting Congenital Diaphragmatic Hernia in Children: Single Center Experience
Adv Pediatr Surg. 2020;26(1):11-14.
Download Citation

Download a citation file in RIS format that can be imported by all major citation management software, including EndNote, ProCite, RefWorks, and Reference Manager.

Format:
Include:
Diagnostic Considerations of Late Presenting Congenital Diaphragmatic Hernia in Children: Single Center Experience
Adv Pediatr Surg. 2020;26(1):11-14.
Close