Skip to main navigation Skip to main content
  • KAPS
  • E-Submission

APS : Advances in Pediatric Surgery

OPEN ACCESS
ABOUT
BROWSE ARTICLES
EDITORIAL POLICY
FOR CONTRIBUTORS
Case Report

Inguinal Lipoblastoma Mimicking Recurrent Inguinal Hernia

Journal of the Korean Association of Pediatric Surgeons 2014;20(2):58-61.
Published online: December 30, 2014

1Department of Surgery, Inje University Haeundae Paik Hospital, Busan, Korea.

2Department of Radiology, Inje University Haeundae Paik Hospital, Busan, Korea.

3Department of Pathology, Inje University Haeundae Paik Hospital, Busan, Korea.

Correspondence: So Hyun Nam, Department of Surgery, Inje University Haeundae Paik Hospital, 875, Haeun-daero, Haeundae-gu, Busan 612-896, Korea. Tel: +82-51-797-0260, Fax: +82-51-797-0276, namsh@paik.ac.kr
• Received: August 20, 2014   • Revised: September 9, 2014   • Accepted: September 19, 2014

Copyright © 2014 by the Korean Association of Pediatric Surgeons

This is an Open Access article distributed under the terms of the Creative Commons Attribution Non-Commercial License (http://creativecommons.org/licenses/by-nc/3.0/) which permits unrestricted non-commercial use, distribution, and reproduction in any medium, provided the original work is properly cited.

  • 180 Views
  • 1 Download
prev next
  • Palpable inguinal mass in children should be differentiated from inguinal hernia, hydrocele, lymph node, and tumor. Though using ultrasonography, fatty tumor would be misdiagnosed as incarcerated inguinal hernia containing fatty component. We experienced the huge inguinal lipoblastoma in 5-year-old girl mimicking recurrent incarcerated hernia. Laparoscopic exploration revealed it was not incarcerated hernia but well demarcated bulging mass from abdominal wall. Mass was about 10×4×3 cm and extended from internal inguinal ring to saphenous opening. It was near total excised because of right external iliac vein injury. Pathologically, it was proven as lipoblastoma containing mature adipocyte with lipoblast and fibrous septa. Postoperatively, we noticed a segmental thrombotic occlusion of external iliac vein. After 1 year, she has no symptom related to occluded vessel. The remained lipoblastoma showed no interval change. Even lipoblastoma has a good prognosis with low recurrence rate, we need careful follow-up.

This paper was presented at the 30th Annual Meeting of the Korean Association of Pediatric Surgeons.

No potential conflict of interest relevant to this article was reported.

  • 1. Kamal NM, Jouini R, Yahya S, Haiba M. Benign intrascrotal lipoblastoma in a 4-month-old infant: a case report and review of literature. J Pediatr Surg 2011;46:E9-E12.
  • 2. Chung EB, Enzinger FM. Benign lipoblastomatosis. An analysis of 35 cases. Cancer 1973;32:482-492.
  • 3. Coffin CM. Lipoblastoma: an embryonal tumor of soft tissue related to organogenesis. Semin Diagn Pathol 1994;11:98-103.
  • 4. Burchhardt D, Fallon SC, Lopez ME, Kim ES, Hicks J, Brandt ML. Retroperitoneal lipoblastoma: a discussion of current management. J Pediatr Surg 2012;47:e51-e54.
  • 5. Nam SH, Kim DY, Kim SC, Kim IK. The clinical manifestations of lipoblastoma in children. J Korean Assoc Pediatr Surg 2007;13:179-186.
  • 6. Hicks J, Dilley A, Patel D, Barrish J, Zhu SH, Brandt M. Lipoblastoma and lipoblastomatosis in infancy and childhood: histopathologic, ultrastructural, and cytogenetic features. Ultrastruct Pathol 2001;25:321-333.
  • 7. Pham NS, Poirier B, Fuller SC, Dublin AB, Tollefson TT. Pediatric lipoblastoma in the head and neck: a systematic review of 48 reported cases. Int J Pediatr Otorhinolaryngol 2010;74:723-728.
  • 8. Dilley AV, Patel DL, Hicks MJ, Brandt ML. Lipoblastoma: pathophysiology and surgical management. J Pediatr Surg 2001;36:229-231.
  • 9. Mognato G, Cecchetto G, Carli M, Talenti E, d'Amore ES, Pederzini F, et al. Is surgical treatment of lipoblastoma always necessary? J Pediatr Surg 2000;35:1511-1513.
  • 10. Lorenzen JC, Godballe C, Kerndrup GB. Lipoblastoma of the neck: a rare cause of respiratory problems in children. Auris Nasus Larynx 2005;32:169-173.
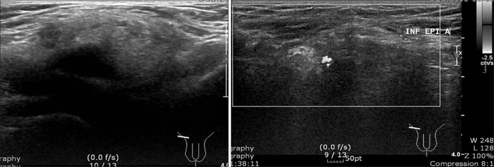
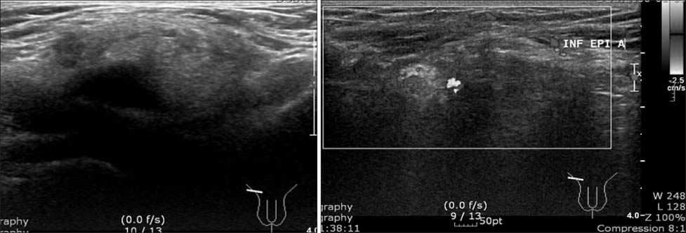
Fig. 1
Ultrasonography showed abnormal echogenic fatty mass in the right inguinal fossa (3×1.3×4.3 cm) with minimal movement during Valsalvar's maneuver.
jkaps-20-58-g001.jpg
Fig. 2
Laparoscopic exploration showed well demarcated bulging mass from abdominal wall without connection of internal organ.
jkaps-20-58-g002.jpg
Fig. 3
Huge fatty mass encircled external iliac vein and femoral vein.
jkaps-20-58-g003.jpg
Fig. 4
CT showed a small lobulating contoured fatty mass like lesion in right inguinal area and nonenhancing right common femoral and external iliac vein with collateral.
jkaps-20-58-g004.jpg

Download Citation

Download a citation file in RIS format that can be imported by all major citation management software, including EndNote, ProCite, RefWorks, and Reference Manager.

Format:

Include:

Inguinal Lipoblastoma Mimicking Recurrent Inguinal Hernia
J Korean Assoc Pediatr Surg. 2014;20(2):58-61.   Published online December 30, 2014
Download Citation

Download a citation file in RIS format that can be imported by all major citation management software, including EndNote, ProCite, RefWorks, and Reference Manager.

Format:
Include:
Inguinal Lipoblastoma Mimicking Recurrent Inguinal Hernia
J Korean Assoc Pediatr Surg. 2014;20(2):58-61.   Published online December 30, 2014
Close

Figure

  • 0
  • 1
  • 2
  • 3
Inguinal Lipoblastoma Mimicking Recurrent Inguinal Hernia
Image Image Image Image
Fig. 1 Ultrasonography showed abnormal echogenic fatty mass in the right inguinal fossa (3×1.3×4.3 cm) with minimal movement during Valsalvar's maneuver.
Fig. 2 Laparoscopic exploration showed well demarcated bulging mass from abdominal wall without connection of internal organ.
Fig. 3 Huge fatty mass encircled external iliac vein and femoral vein.
Fig. 4 CT showed a small lobulating contoured fatty mass like lesion in right inguinal area and nonenhancing right common femoral and external iliac vein with collateral.
Inguinal Lipoblastoma Mimicking Recurrent Inguinal Hernia