Skip to main navigation Skip to main content
  • KAPS
  • E-Submission

APS : Advances in Pediatric Surgery

OPEN ACCESS
ABOUT
BROWSE ARTICLES
EDITORIAL POLICY
FOR CONTRIBUTORS
Original Article

The Usefulness of Calretinin Immunohistochemistry for Rectal Suction Biopsy to Diagnose Hirschsprung’s Disease

Journal of the Korean Association of Pediatric Surgeons 2016;22(2):23-28.
Published online: December 22, 2016

1Department of Pediatric Surgery, Donsgan Medical Center, Keimyung University School of Medicine, Daegu, Korea.

2Department of Pathology, Donsgan Medical Center, Keimyung University School of Medicine, Daegu, Korea.

Correspondence: Eunyoung Jung, Department of Pediatric Surgery, Dongsan Medical Center, Keimyung University School of Medicine, 56 Dalseong-ro, Jung-gu, Daegu 41931, Korea. Tel: +82-53-250-8091, Fax: +82-53-250-7322, eyjung@dsmc.or.kr
• Received: June 1, 2016   • Revised: July 11, 2016   • Accepted: July 21, 2016

Copyright © 2016 by the Korean Association of Pediatric Surgeons

This is an Open Access article distributed under the terms of the Creative Commons Attribution Non-Commercial License (https://creativecommons.org/licenses/by-nc/4.0) which permits unrestricted non-commercial use, distribution, and reproduction in any medium, provided the original work is properly cited.

  • 245 Views
  • 0 Download
prev next
  • Purpose
    Hirschsprung’s disease (HD) is a congenital intestinal disorder with absence of ganglion cells in the intestinal muscle and submucosa. Diagnosis is based on histopathological study such as H&E, and acetylcholinesterase (AchE) immunohistochemistry. Calretinin immunohistochemistry was introduced as a new diagnostic method against limitations of other staining. The aim of this study is to investigate the usefulness of calretinin immunohistochemistry for the diagnosis of HD compared to H&E and AchE.
  • Methods
    Ten patients with HD and 22 non-HD patients were included in the study. H&E staining, AchE and calretinin immunohistochemistry were performed in all 32 patients. All slides were evaluated by same single pathologist and the diagnostic value was calculated for each H&E stain, AchE immunohistochemical staining, and calretinin immunohistochemical staining.
  • Results
    Calretinin method had sensitivity of 100% and specificity of 100% for diagnosis of HD. Its diagnostic accuracy was 100%. AchE staining showed 100% of specificity and 80% of sensitivity. Diagnostic accuracy of H&E staining was 56.3%.
  • Conclusion
    We concluded that calretinin immunohistochemistry is a very useful and valuable method to diagnosis HD patient.

The content of this article was presented at the 30th Annual Meeting of the Korean Association of Pediatric Surgeons, Busan, June 2014.

No potential conflict of interest relevant to this article was reported.

  • 1. Langer JC. Chapter 101 Hirschsprung disease. In Stehr W, Gingalewski CA, eds, ddPediatric surgery. 7th ed. Philadelphia: Elsevier Saunders; 2012, pp 1265-1278.
  • 2. Langer JC. Chapter 34 Hirschsprung disease. In Holcomb GW, Patrick Murphy J, Ostlie DJ, eds, ddAshcraft’s pediatric surgery. 6th ed. London, New York: Elsevier Saunders; 2014, pp 474-491.
  • 3. Stewart CL, Kulungowski AM, Tong S, Langer JC, Soden J, Sømme S. Rectal biopsies for Hirschsprung disease: patient characteristics by diagnosis and attending specialty. J Pediatr Surg 2016;51:573-576.
  • 4. Langer JC. 50 Years ago in the Journal of Pediatrics: rectal biopsy as an aid in the diagnosis of diseases of infants and children. J Pediatr 2013;162:301.
  • 5. Meier-Ruge W, Lutterbeck PM, Herzog B, Morger R, Moser R, Schärli A. Acetylcholinesterase activity in suction biopsies of the rectum in the diagnosis of Hirschsprung’s disease. J Pediatr Surg 1972;7:11-17.
  • 6. Park WH, Choi SO, Kwon KY, Chang ES. Acetylcholinesterase histochemistry of rectal suction biopsies in the diagnosis of Hirschsprung’s disease. J Korean Med Sci 1992;7:353-359.
  • 7. Lake BD, Malone MT, Risdon RA. The use of acetylcholinesterase (AChE) in the diagnosis of Hirschsprung’s disease and intestinal neuronal dysplasia. Pediatr Pathol 1989;9:351-354.
  • 8. Barshack I, Fridman E, Goldberg I, Chowers Y, Kopolovic J. The loss of calretinin expression indicates aganglionosis in Hirschsprung’s disease. J Clin Pathol 2004;57:712-716.
  • 9. Eusebi P. Diagnostic accuracy measures. Cerebrovasc Dis 2013;36:267-272.
  • 10. Park WH. Clinical features and diagnosis of Hirschsprung’s disease. J Korean Assoc Pediatr Surg 2002;8:48-53.
  • 11. Cinel L, Ceyran B, Güçlüer B. Calretinin immunohistochemistry for the diagnosis of Hirschprung disease in rectal biopsies. Pathol Res Pract 2015;211:50-54.
  • 12. Kapur RP, Reed RC, Finn LS, Patterson K, Johanson J, Rutledge JC. Calretinin immunohistochemistry versus acetylcholinesterase histochemistry in the evaluation of suction rectal biopsies for Hirschsprung disease. Pediatr Dev Pathol 2009;12:6-15.
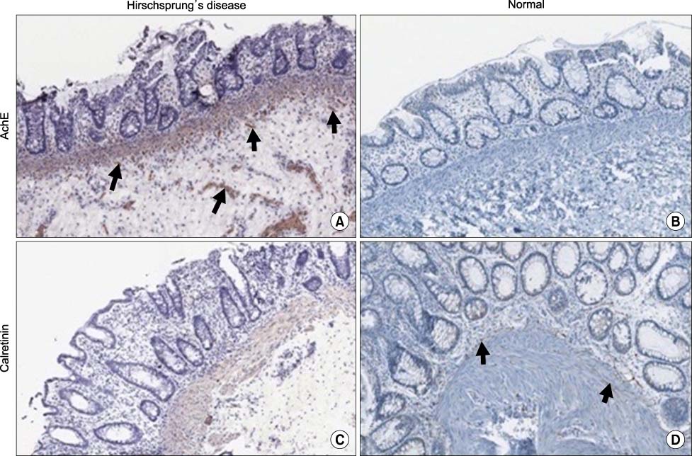
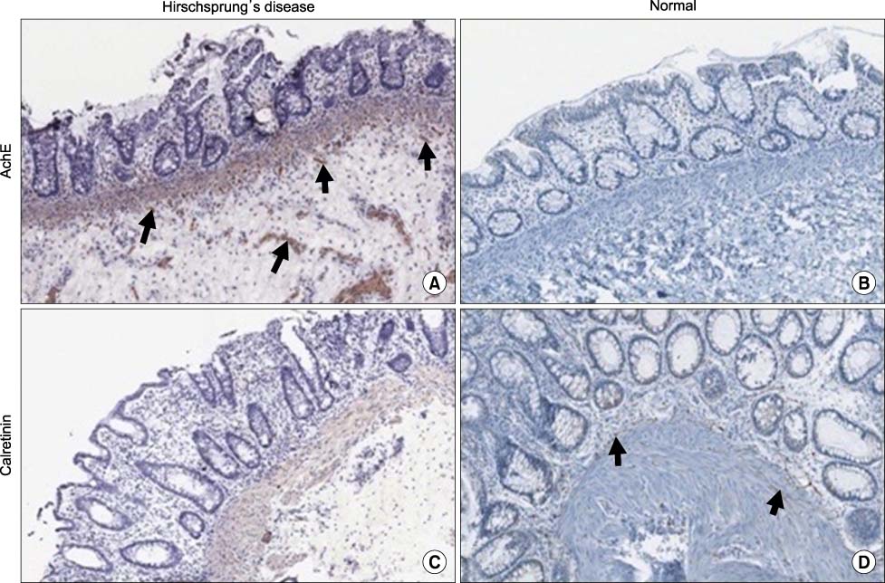
Fig. 1

Hirschsprung’s disease (HD) case shows diffuse proliferation of acetylcholinesterase (AchE) fibers (arrows) in lamina propria, muscularis mucosa, and submucosa (A), but complete absence of calretinin immunoreactive fibers (C). Non-HD case reveals many thin calretinin immunoreactive fibers (arrows; D), but no proliferation of AchE fibers (B). (A, B) AchE stain, ×100. (C, D) Calretinin stain, ×100.

jkaps-22-23-g001.jpg
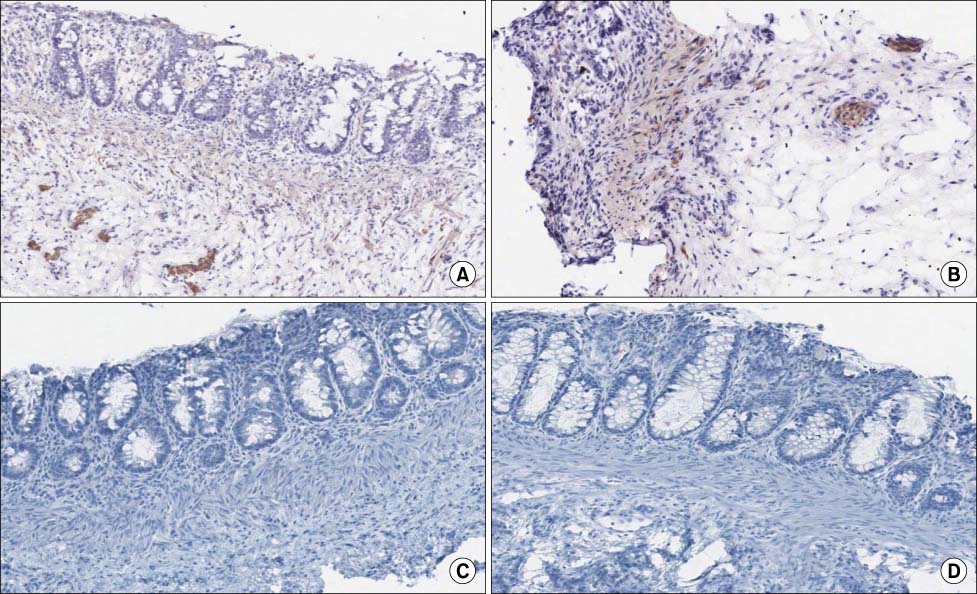
Fig. 2

Hirschsprung’s disease case shows equivocal acetylcholinesterase (AchE) findings which have mild proliferation of AchE fibers in submucosa (A, B; AchE stain, ×100), but complete absence of calretinin immunoreactive fibers was observed (C, D; calretinin stain, ×100). This case is difficult to differentiate diagnosis for normal variation.

jkaps-22-23-g002.jpg
Table 1

Patient Profile

jkaps-22-23-i001.jpg
Table 2

Results of Calretinin Immunohistochemical Staining

Sensitivity 100%, specificity 100%, positive predictive value 100%, negative predictive value 100%, accuracy 100%, p<0.001.

jkaps-22-23-i002.jpg
Table 3

Cases of Repeated Biopsy

jkaps-22-23-i003.jpg
Table 4

Results of Acetylcholinesterase (AchE) Immunohistochemical Staining

Sensitivity 80%, specificity 100%, p<0.001.

jkaps-22-23-i004.jpg
Table 5

Results of H&E Staining

p=0.035.

jkaps-22-23-i005.jpg

Download Citation

Download a citation file in RIS format that can be imported by all major citation management software, including EndNote, ProCite, RefWorks, and Reference Manager.

Format:

Include:

The Usefulness of Calretinin Immunohistochemistry for Rectal Suction Biopsy to Diagnose Hirschsprung’s Disease
J Korean Assoc Pediatr Surg. 2016;22(2):23-28.   Published online December 22, 2016
Download Citation

Download a citation file in RIS format that can be imported by all major citation management software, including EndNote, ProCite, RefWorks, and Reference Manager.

Format:
Include:
The Usefulness of Calretinin Immunohistochemistry for Rectal Suction Biopsy to Diagnose Hirschsprung’s Disease
J Korean Assoc Pediatr Surg. 2016;22(2):23-28.   Published online December 22, 2016
Close

Figure

  • 0
  • 1
The Usefulness of Calretinin Immunohistochemistry for Rectal Suction Biopsy to Diagnose Hirschsprung’s Disease
Image Image
Fig. 1 Hirschsprung’s disease (HD) case shows diffuse proliferation of acetylcholinesterase (AchE) fibers (arrows) in lamina propria, muscularis mucosa, and submucosa (A), but complete absence of calretinin immunoreactive fibers (C). Non-HD case reveals many thin calretinin immunoreactive fibers (arrows; D), but no proliferation of AchE fibers (B). (A, B) AchE stain, ×100. (C, D) Calretinin stain, ×100.
Fig. 2 Hirschsprung’s disease case shows equivocal acetylcholinesterase (AchE) findings which have mild proliferation of AchE fibers in submucosa (A, B; AchE stain, ×100), but complete absence of calretinin immunoreactive fibers was observed (C, D; calretinin stain, ×100). This case is difficult to differentiate diagnosis for normal variation.
The Usefulness of Calretinin Immunohistochemistry for Rectal Suction Biopsy to Diagnose Hirschsprung’s Disease

Patient Profile

Results of Calretinin Immunohistochemical Staining

Sensitivity 100%, specificity 100%, positive predictive value 100%, negative predictive value 100%, accuracy 100%, p<0.001.

Cases of Repeated Biopsy

Results of Acetylcholinesterase (AchE) Immunohistochemical Staining

Sensitivity 80%, specificity 100%, p<0.001.

Results of H&E Staining

p=0.035.

Table 1 Patient Profile
Table 2 Results of Calretinin Immunohistochemical Staining

Sensitivity 100%, specificity 100%, positive predictive value 100%, negative predictive value 100%, accuracy 100%, p<0.001.

Table 3 Cases of Repeated Biopsy
Table 4 Results of Acetylcholinesterase (AchE) Immunohistochemical Staining

Sensitivity 80%, specificity 100%, p<0.001.

Table 5 Results of H&E Staining

p=0.035.