Skip to main navigation Skip to main content
  • KAPS
  • E-Submission

APS : Advances in Pediatric Surgery

OPEN ACCESS
ABOUT
BROWSE ARTICLES
EDITORIAL POLICY
FOR CONTRIBUTORS
Original Article

Clinical Analysis of Foreign Bodies in Gastrointestinal Tract in Children

Journal of the Korean Association of Pediatric Surgeons 2014;20(1):12-16.
Published online: June 30, 2014

Department of Surgery, Chonnam National University School of Medicine, Gwangju, Korea

Correspondence: Soo Jin Na Choi, Department of Surgery, Chonnam National University School of Medicine, 42, Jebong-ro, Dong-gu, Gwangju 501-757, Korea. Tel: 062-220-6473, Fax: 062-227-1635, E-mail: choisjn@chonnam.ac.kr
• Received: April 10, 2014   • Accepted: June 5, 2014

Copyright © 2014 Korean Association of Pediatric Surgeons

This is an Open Access article distributed under the terms of the Creative Commons Attribution Non-Commercial License (http://creativecommons.org/licenses/by-nc/3.0/) which permits unrestricted non-commercial use, distribution, and reproduction in any medium, provided the original work is properly cited.

  • 399 Views
  • 1 Download
  • 4 Crossref
prev next
  • Foreign body ingestion is a common problem among paediatric populations. Most of the ingested foreign bodies spontaneously pass through the gastrointestinal tract, but approximately less then 10% of them remain without being discharged, and trigger complications. Therefore, proper evaluation and treatment according to the situation is required. In this study, clinical progress and complications were analyzed according to the clinical features and treatment in children who ingested foreign bodies. Among pediatric patients under 18 who were admitted to Chonnam National University Hospital after ingesting foreign bodies between January 2008 to June 2012, only the patients who had their foreign body in the gastrointestinal tract were included in this study. Based on medical records, age, type of foreign body, time spent till admission, and whether the endoscopy was done or not, complication were researched retrospectively. According to symptoms and plain abdomen X-ray findings, treatment was chosen and conducted among endoscopy, observation and emergency operation. Among 273 patients, 9 (3.3%) of them had surgical removal. Seven (2.6%) of them had an emergency operation on the day of admission, and the rest 2 (0.7%) had operation during observation. Removal through initial endoscopic approach was tried in 157 (57.5%) patients. Eleven (70.8%) of them had their foreign body removed at the initial trial, and 5 (4.9%) of them at the second trial. Among 109, who were on observation status, 9 (8.3%) of them needed endoscopic removal, and 2 (1.8%) of them suffered from surgical removal. It is thought to be better to approach slowly considering the type, size and symptoms in foreign body ingestion of pediatric patients, rather than immediate and invasive removal.
Fig. 1.
Schematic review of management and results of foreign bodies ingested patients. ER: emergency room, EGD: esophagogastroduodenoscopy, F/U: follow up.
jkaps-20-12-g001.jpg
Fig. 2.
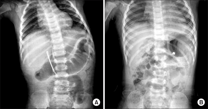
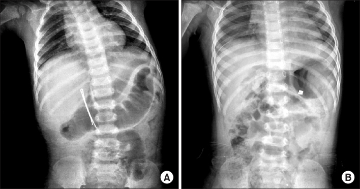
(A) Impaction of foreign body in appendix (gold accessory). (B) Impaction of foreign body in small intestine (hair pin).
jkaps-20-12-g002.jpg
Fig. 3.
(A) Perforation of duodenal second portion by hair pin. (B) Perforation of gastric greater curvature and jejunum by two magnets.
jkaps-20-12-g003.jpg
Table 1.
Age Distribution of the 273 Children
Table 1.
Age (yr) Number of patients (%)
<1 14 (5.1)
1∼3 171 (62.6)
4∼6 52 (19.1)
7∼9 25 (9.2)
10∼18 11 (4.0)
Total 273 (100)
Table 2.
Nature and Frequency of Ingested Foreign Bodies
Table 2.
Foreign bodies Number of cases (%)
Coins 80 (29.3)
Button batteries 41 (15.0)
Sharp objects 39 (14.3)
Magnets 13 (4.8)
Other objects 100 (36.6)
Total 273 (100)
Table 3.
Complications according to the Type of Foreign Bodies
Table 3.
Foreign bodies (number of cases) Complications Number of cases (%)
Coins (80) Esophageal ulcer 2 1 (2.5)
Esophageal stricture 1
Button batteries (41) Mallory-weiss tearing 8 1 (19.5)
Acute gastritis 2
Gastric erosion 2
Gastric ulcer 3
Sharp objects (39) Esophageal ulcer 3 1 (7.7)
Duodenum perforation 2
Magnets (13) Gastric ulcer 6 1 (46.2)
Gastric perforation 1
Colon perforation 1
Small intestine perforation 3
Other objects (100) Acute gastritis 4 4 (4)
Total (273) 23 (8.4)
  • 1. McNeill MB, Sperry SL, Crockett SD, Miller CB, Shaheen NJ, Dellon ES. Epidemiology and management of oesophageal coin impaction in children. Dig Liver Dis 2012;44:482-486.
  • 2. Tander B, Yazici M, Rizalar R, Ariturk E, Ayyildiz SH, Bernay F. Coin ingestion in children: which size is more risky? J Laparoendosc Adv Surg Tech A 2009;19:241-243.
  • 3. Chen X, Milkovich S, Stool D, van As AB, Reilly J, Rider G. Pediatric coin ingestion and aspiration. Int J Pediatr Otorhinolaryngol 2006;70:325-329.
  • 4. Schunk JE, Corneli H, Bolte R. Pediatric coin ingestions. A prospective study of coin location and symptoms. Am J Dis Child 1989;143:546-548.
  • 5. Panieri E, Bass DH. The management of ingested foreign bodies in children--a review of 663 cases. Eur J Emerg Med 1995;2:83-87.
  • 6. Conners GP, Chamberlain JM, Weiner PR. Pediatric coin ingestion: a home-based survey. Am J Emerg Med 1995;13:638-640.
  • 7. Allotey J, Duncan H, Williams H. Mediastinitis and retropharyngeal abscess following delayed diagnosis of glass ingestion. Emerg Med J 2006;23:e12.
  • 8. Wright CC, Closson FT. Updates in pediatric gastrointestinal foreign bodies. Pediatr Clin North Am 2013;60:1221-1239.
  • 9. Volle E, Beyer P, Kaufmann HJ. Therapeutic approach to ingested button-type batteries. Magnetic removal of ingested button-type batteries. Pediatr Radiol 1989;19:114-118.
  • 10. Litovitz T, Whitaker N, Clark L. Preventing battery ingestions: an analysis of 8648 cases. Pediatrics 2010;125:1178-1183.
  • 11. Namasivayam S. Button battery ingestion: a solution to a management dilemma. Pediatr Surg Int 1999;15:383-384.
  • 12. Honzumi M, Shigemori C, Ito H, Mohri Y, Urata H, Yamamoto T. An intestinal fistula in a 3-year-old child caused by the ingestion of magnets: report of a case. Surg Today 1995;25:552-553.
  • 13. Martin A. Safety worry leads to end of a popular toy magnet [Internet]. New York (NY): The New York Times; 2012 Dec 17; [cited 2014 Feb 20]. Available from: http://www.nytimes.com/2012/12/18/business/maker-of-buckyballs-says-it-will-stop-selling-them.html?_r=0
  • 14. Lelli JL. Foreign bodies. In: Ashcraft KW, Hoder TM, editors. Pediatric Surgery, chap 11. ed 5. Philadelphia, PA: WB Sounders; 2010. pp. Pp141.
  • 15. Hussain SZ, Bousvaros A, Gilger M, Mamula P, Gupta S, Kramer R, Noel RA. Management of ingested magnets in children. J Pediatr Gastroenterol Nutr 2012;55:239-242.
  • 16. Da Silva EJ, Golakai VK. Foreign body causing chronic subacute small bowel obstruction: an unusual case from Harare Hospital. Cent Afr J Med 1998;44:16-18.
  • 17. Lelli JL. Foreign bodies. In: Ashcraft KW, Hoder TM, editors. Pediatric Surgery, chap 11. ed 5. Philadelphia, PA: WB Sounders; 2010. pp. Pp141.
  • 18. Messner AH. Pitfalls in the diagnosis of aerodigestive tract foreign bodies. Clin Pediatr (Phila) 1998;37:359-365.

Download Citation

Download a citation file in RIS format that can be imported by all major citation management software, including EndNote, ProCite, RefWorks, and Reference Manager.

Format:

Include:

Clinical Analysis of Foreign Bodies in Gastrointestinal Tract in Children
J Korean Assoc Pediatr Surg. 2014;20(1):12-16.   Published online June 30, 2014
Download Citation

Download a citation file in RIS format that can be imported by all major citation management software, including EndNote, ProCite, RefWorks, and Reference Manager.

Format:
Include:
Clinical Analysis of Foreign Bodies in Gastrointestinal Tract in Children
J Korean Assoc Pediatr Surg. 2014;20(1):12-16.   Published online June 30, 2014
Close

Figure

  • 0
  • 1
  • 2
Clinical Analysis of Foreign Bodies in Gastrointestinal Tract in Children
Image Image Image
Fig. 1. Schematic review of management and results of foreign bodies ingested patients. ER: emergency room, EGD: esophagogastroduodenoscopy, F/U: follow up.
Fig. 2. (A) Impaction of foreign body in appendix (gold accessory). (B) Impaction of foreign body in small intestine (hair pin).
Fig. 3. (A) Perforation of duodenal second portion by hair pin. (B) Perforation of gastric greater curvature and jejunum by two magnets.
Clinical Analysis of Foreign Bodies in Gastrointestinal Tract in Children
Age (yr) Number of patients (%)
<1 14 (5.1)
1∼3 171 (62.6)
4∼6 52 (19.1)
7∼9 25 (9.2)
10∼18 11 (4.0)
Total 273 (100)
Foreign bodies Number of cases (%)
Coins 80 (29.3)
Button batteries 41 (15.0)
Sharp objects 39 (14.3)
Magnets 13 (4.8)
Other objects 100 (36.6)
Total 273 (100)
Foreign bodies (number of cases) Complications Number of cases (%)
Coins (80) Esophageal ulcer 2 1 (2.5)
Esophageal stricture 1
Button batteries (41) Mallory-weiss tearing 8 1 (19.5)
Acute gastritis 2
Gastric erosion 2
Gastric ulcer 3
Sharp objects (39) Esophageal ulcer 3 1 (7.7)
Duodenum perforation 2
Magnets (13) Gastric ulcer 6 1 (46.2)
Gastric perforation 1
Colon perforation 1
Small intestine perforation 3
Other objects (100) Acute gastritis 4 4 (4)
Total (273) 23 (8.4)
Table 1. Age Distribution of the 273 Children
Table 2. Nature and Frequency of Ingested Foreign Bodies
Table 3. Complications according to the Type of Foreign Bodies