Skip to main navigation Skip to main content
  • KAPS
  • E-Submission

APS : Advances in Pediatric Surgery

OPEN ACCESS
ABOUT
BROWSE ARTICLES
EDITORIAL POLICY
FOR CONTRIBUTORS
Case Report

A Case Report of Gardner-Associated Fibroma in 19-Month-Old Girl

Journal of the Korean Association of Pediatric Surgeons 2017;23(2):59-61.
Published online: December 20, 2017

Department of Pediatric Surgery, Seoul National University Children's Hospital, Seoul, Korea.

Correspondence: Hyun-Young Kim, Department of Pediatric Surgery, Seoul National University Children's Hospital, 101 Daehak-ro, Jongno-gu, Seoul 03080, Korea. Tel: +82-2-2072-2478, Fax: +82-2-747-5130, spkhy02@snu.ac.kr
• Received: April 7, 2017   • Revised: June 5, 2017   • Accepted: June 21, 2017

Copyright © 2017 Korean Association of Pediatric Surgeons

This is an Open Access article distributed under the terms of the Creative Commons Attribution Non-Commercial License (https://creativecommons.org/licenses/by-nc/4.0) which permits unrestricted non-commercial use, distribution, and reproduction in any medium, provided the original work is properly cited.

  • 196 Views
  • 2 Download
prev
  • Gardner-associated fibroma (GAF) is a benign lesion of soft tissue which has recently been described and is exceedingly rare in children. GAF is associated with adenomatous polyposis coli gene mutation, familial adenomatous polyposis and desmoid. We report a case of patient with soft tissue tumor on her lower back which was turned out to be GAF. The patient was a 19-month-old female who visited out-patient clinic with palpable mass on her lower back and we performed surgical excision. The tumor was located at subcutaneous and we excised the tumor including surrounding soft tissue. She discharged without any complication on surgery day. The pathologic report showed dense collagenous tissue with spindle cell and adipose tissue, suggestive of GAF. We are planning to check gene study and to perform endoscopy and abdominal ultrasonography for at the age of 4.

No potential conflict of interest relevant to this article was reported.

  • 1. Wehrli BM, Weiss SW, Yandow S, Coffin CM. Gardner-associated fibromas (GAF) in young patients: a distinct fibrous lesion that identifies unsuspected Gardner syndrome and risk for fibromatosis. Am J Surg Pathol 2001;25:645-651.
  • 2. Duncan BR, Dohner VA, Priest JH. The Gardner syndrome: need for early diagnosis. J Pediatr 1968;72:497-505.
  • 3. Michal M, Boudova L, Mukensnabl P. Gardner's syndrome associated fibromas. Pathol Int 2004;54:523-526.
  • 4. Coffin CM, Hornick JL, Zhou H, Fletcher CD. Gardner fibroma: a clinicopathologic and immunohistochemical analysis of 45 patients with 57 fibromas. Am J Surg Pathol 2007;31:410-416.
  • 5. Schäfer M, Kadmon M, Schmidt W, Treiber I, Moog U, Sutter C, et al. Neonatal gardner fibroma leads to detection of familial adenomatous polyposis: two case reports. European J Pediatr Surg Rep 2016;4:17-21.
  • 6. Lynch HT, de la Chapelle A. Hereditary colorectal cancer. N Engl J Med 2003;348:919-932.
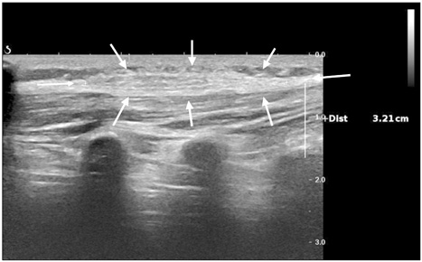
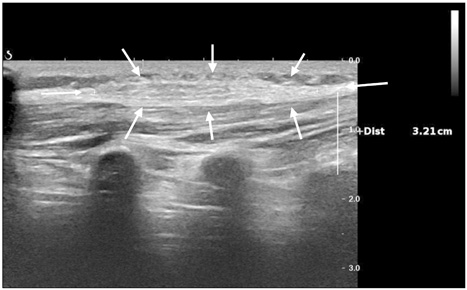
Fig. 1

Ultrasound finding of lesion (arrows).

jkaps-23-59-g001.jpg
Fig. 2

Gross picture of specimen; the specimen was divided into several pieces and the size of biggest one was 1.5×1.3×0.4 cm.

jkaps-23-59-g002.jpg
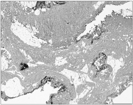
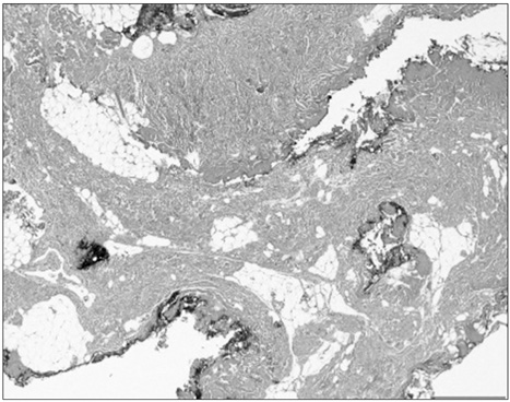
Fig. 3

Microscopic finding of specimen; dense collagenous tissue with balnd spindle cells and adipose tissue (H&E, ×40).

jkaps-23-59-g003.jpg

Download Citation

Download a citation file in RIS format that can be imported by all major citation management software, including EndNote, ProCite, RefWorks, and Reference Manager.

Format:

Include:

A Case Report of Gardner-Associated Fibroma in 19-Month-Old Girl
J Korean Assoc Pediatr Surg. 2017;23(2):59-61.   Published online December 20, 2017
Download Citation

Download a citation file in RIS format that can be imported by all major citation management software, including EndNote, ProCite, RefWorks, and Reference Manager.

Format:
Include:
A Case Report of Gardner-Associated Fibroma in 19-Month-Old Girl
J Korean Assoc Pediatr Surg. 2017;23(2):59-61.   Published online December 20, 2017
Close

Figure

  • 0
  • 1
  • 2
A Case Report of Gardner-Associated Fibroma in 19-Month-Old Girl
Image Image Image
Fig. 1 Ultrasound finding of lesion (arrows).
Fig. 2 Gross picture of specimen; the specimen was divided into several pieces and the size of biggest one was 1.5×1.3×0.4 cm.
Fig. 3 Microscopic finding of specimen; dense collagenous tissue with balnd spindle cells and adipose tissue (H&E, ×40).
A Case Report of Gardner-Associated Fibroma in 19-Month-Old Girl