Skip to main navigation Skip to main content
  • KAPS
  • E-Submission

APS : Advances in Pediatric Surgery

OPEN ACCESS
ABOUT
BROWSE ARTICLES
EDITORIAL POLICY
FOR CONTRIBUTORS
Case Report

A Case of Extramedullary Hematopoiesis Associated with Congenital Dyserythropoietic Anemia

Journal of the Korean Association of Pediatric Surgeons 2017;23(1):1-4.
Published online: June 26, 2017

Department of Pediatric Surgery, Seoul National University Children's Hospital, Seoul, Korea.

Correspondence: Chaeyoun Oh, Department of Pediatric Surgery, Seoul National University College of Medicine, 103 Daehak-ro, Jongno-gu, Seoul 03080, Korea. Tel: +82-2-2072-4252, Fax: +82-2-766-3975, chaeyoun.o@gmail.com
• Received: July 21, 2016   • Revised: November 4, 2016   • Accepted: December 27, 2016

Copyright © 2016 by the Korean Association of Pediatric Surgeons

This is an Open Access article distributed under the terms of the Creative Commons Attribution Non-Commercial License (https://creativecommons.org/licenses/by-nc/4.0) which permits unrestricted non-commercial use, distribution, and reproduction in any medium, provided the original work is properly cited.

  • 198 Views
  • 1 Download
next
  • It has been known that extramedullary hematopoiesis occurring after birth can be developed in various diseases, and it is often found in hematologic diseases. Among these, congenital dyserythropoietic anemia is a rare disease characterized with increase of ineffective hematopoiesis and morphological abnormalities of erythroblasts. In congenital dyserythropoietic anemia, extramedullary hematopoiesis is very rare and only a few cases have been reported. Although treatment is not required if there is no symptom in extramedullary hematopoiesis, surgery or radiation therapy is effective in case that there is symptom or unresponsive anemia despite blood transfusion. This case report is about surgical treatment for extramedullary hematopoiesis in 23-year-old patients diagnosed of congenital dyserythropoietic anemia.

No potential conflict of interest relevant to this article was reported.

  • 1. Koch CA, Li CY, Mesa RA, Tefferi A. Nonhepatosplenic extramedullary hematopoiesis: associated diseases, pathology, clinical course, and treatment. Mayo Clin Proc 2003;78:1223-1233.
  • 2. Wickramasinghe SN, Wood WG. Advances in the understanding of the congenital dyserythropoietic anaemias. Br J Haematol 2005;131:431-446.
  • 3. Lugassy G, Michaeli J, Harats N, Libson E, Rachmilewitz EA. Paravertebral extramedullary hematopoiesis associated with improvement of anemia in congenital dyserythropoietic anemia type II. Am J Hematol 1986;22:295-300.
  • 4. Wickramasinghe SN. Congenital dyserythropoietic anaemias: clinical features, haematological morphology and new biochemical data. Blood Rev 1998;12:178-200.
  • 5. Dgany O, Avidan N, Delaunay J, Krasnov T, Shalmon L, Shalev H, et al. Congenital dyserythropoietic anemia type I is caused by mutations in codanin-1. Am J Hum Genet 2002;71:1467-1474.
  • 6. Kupferschmid JP, Shahian DM, Villanueva AG. Massive hemothorax associated with intrathoracic extramedullary hematopoiesis involving the pleura. Chest 1993;103:974-975.
  • 7. Wolf BC, Neiman RS. Hypothesis: splenic filtration and the pathogenesis of extramedullary hematopoiesis in agnogenic myeloid metaplasia. Hematol Pathol 1987;1:77-80.
  • 8. Wolf BC, Neiman RS. Myelofibrosis with myeloid metaplasia: pathophysiologic implications of the correlation between bone marrow changes and progression of splenomegaly. Blood 1985;65:803-809.
  • 9. Haidar R, Mhaidli H, Taher AT. Paraspinal extramedullary hematopoiesis in patients with thalassemia intermedia. Eur Spine J 2010;19:871-878.
  • 10. Chang JW, Maeng YH. VATS resection for a posterior mediastinal extramedullary hematopoietic mass: resection of extramedullary hematopoiesis. Korean J Thorac Cardiovasc Surg 2010;43:542-545.
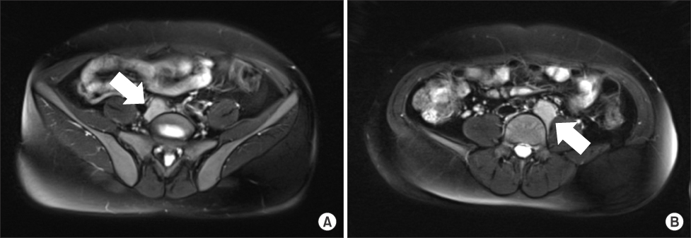
Fig. 1

Abdominal MRI shows two homogeneous enhancing masses in both common iliac area (arrows). (A) Right side. (B) Left side.

jkaps-23-1-g001.jpg
Fig. 2

Technetium-99m RBC scintigraphy shows uptake in both common iliac area masses. (A) Right side. (B) Left side.

jkaps-23-1-g002.jpg
Fig. 3

The photomicrograph shows many polymorphous myeloid cells (H&E, ×400).

jkaps-23-1-g003.jpg

Download Citation

Download a citation file in RIS format that can be imported by all major citation management software, including EndNote, ProCite, RefWorks, and Reference Manager.

Format:

Include:

A Case of Extramedullary Hematopoiesis Associated with Congenital Dyserythropoietic Anemia
J Korean Assoc Pediatr Surg. 2017;23(1):1-4.   Published online June 26, 2017
Download Citation

Download a citation file in RIS format that can be imported by all major citation management software, including EndNote, ProCite, RefWorks, and Reference Manager.

Format:
Include:
A Case of Extramedullary Hematopoiesis Associated with Congenital Dyserythropoietic Anemia
J Korean Assoc Pediatr Surg. 2017;23(1):1-4.   Published online June 26, 2017
Close

Figure

  • 0
  • 1
  • 2
A Case of Extramedullary Hematopoiesis Associated with Congenital Dyserythropoietic Anemia
Image Image Image
Fig. 1 Abdominal MRI shows two homogeneous enhancing masses in both common iliac area (arrows). (A) Right side. (B) Left side.
Fig. 2 Technetium-99m RBC scintigraphy shows uptake in both common iliac area masses. (A) Right side. (B) Left side.
Fig. 3 The photomicrograph shows many polymorphous myeloid cells (H&E, ×400).
A Case of Extramedullary Hematopoiesis Associated with Congenital Dyserythropoietic Anemia